La causa più comune di dolore cronico al ginocchio e di riduzione della sua funzionalità è l'artrosi. Anche se ci sono molti tipi di artrosi, quelli che più comunemente causano dolore al ginocchio sono: l’artrosi cronica senile, l'artrosi secondaria ad artrite reumatoide (malattia infiammatoria su base auto-immune), l'artrosi post-traumatica (esito di fratture) e l’osteonecrosi (infarto dell’osso).


La decisione di sottoporsi ad intervento chirurgico di protesi del ginocchio dovrebbe essere una decisione presa di comune accordo tra voi, la vostra famiglia, il vostro Medico di famiglia, e il Chirurgo ortopedico. Il Medico di famiglia può fare riferimento a un Chirurgo ortopedico per una valutazione approfondita e per determinare se nel vostro caso si possa trarre beneficio da questo tipo di chirurgia.
Indicazioni alla Protesi di ginocchio
Ci sono diversi motivi per cui il Medico può raccomandare un intervento chirurgico di protesi di ginocchio. Le persone che beneficiano di protesi del ginocchio spesso hanno:
- Dolore al ginocchio grave o rigidità che limita le attività quotidiane, tra cui camminare, salire le scale, ed alzarsi o sedersi sulla sedia.
- Infiammazione cronica e gonfiore al ginocchio che non migliora con il riposo, il ghiaccio, le infiltrazioni o con i farmaci.
- Deformità del ginocchio: un ginocchio che è diventato flesso e non si estende più (risultato di una grave artrosi) e/o un ginocchio deformato verso l'interno (varo) o verso l'esterno (valgo) (Fig. 3). In questi casi la chirurgia protesica è in grado di riallineare gli arti.

Non esiste un'età assoluta o limitazioni di peso per la chirurgia protesica del ginocchio anche se è bene ricordare che questi impianti non durano in eterno (in media 15 anni) e che il peso eccessivo del vostro corpo può essere la causa di una minore longevità della vostra protesi. Quando una protesi fallisce perché si è usurata, dovrà essere sostituita; questo intervento detto di revisione della protesi di ginocchio è un intervento più complesso e più rischioso rispetto all'intervento di primo impianto.
L'indicazione alla chirurgia protesica di ginocchio è basata sul dolore di un paziente e sul suo grado di disabilità, non sull'età. La maggior parte dei pazienti che si sottopongono a protesi totale del ginocchio è di età compresa tra i 50 a gli 80 anni, ma i chirurghi ortopedici valutano i pazienti individualmente. Le protesi di ginocchio sono eseguite con successo a tutte le età, dal giovane adolescente con artrite giovanile al paziente anziano con artrosi degenerativa.
Aspettative realistiche
Non dovete sottoporvi ad intervento di protesi totale del ginocchio se non avete compreso perfettamente tutte le informazioni relative all'intervento chirurgico e soprattutto ai rischi e le complicanze.
Un fattore importante nel decidere se sottoporsi o meno a un intervento chirurgico di protesi del ginocchio è capire cosa questa procedura può e cosa non può fare.
Più del 90 % delle persone sottoposte a protesi del ginocchio hanno sperimentato una notevole riduzione del dolore del ginocchio e un significativo miglioramento della capacità di eseguire attività comuni della vita quotidiana. Ma la protesi del ginocchio non vi permetterà di fare di più di quanto facevate prima di iniziare a soffrire di artrosi.
Con l'uso e l'attività normale, lo spaziatore di plastica di ogni protesi di ginocchio comincia a usurarsi. L'eccessiva attività o l'essere troppo pesanti può accelerare questa usura e può condurvi troppo presto all'intervento di revisione della vostra protesi perché si è mobilizzata o è diventata dolorosa. Pertanto, la maggior parte dei chirurghi sconsiglia di praticare attività come la corsa, il jogging, saltare, o altri sport ad alto impatto per il resto della vita dopo l'intervento chirurgico.
Le attività che potete fare a seguito di intervento di protesi del ginocchio comprendono passeggiate illimitate, nuoto, golf, guida, trekking leggero, bicicletta, ballo liscio e altri sport a basso impatto.
Con le appropriate cautele, la protesi del vostro ginocchio può durare per molti anni.
Possibili complicanze della chirurgia
Il tasso di complicanze a seguito di protesi totale del ginocchio è basso. Complicazioni gravi, quali l'infezione del ginocchio, si verificano in meno del 2% dei pazienti. Le principali complicazioni mediche, come infarto o ictus si verificano anche meno frequentemente. Le malattie croniche (come il diabete) possono aumentare il rischio di complicanze. Anche se è raro, quando però si verificano, queste complicazioni possono prolungare o limitare il pieno recupero.
Parlate a fondo delle vostre preoccupazioni con un Ortopedico della nostra equipe prima dell'intervento.
Di seguito sono elencate le possibili complicanze:
- Infezione. L'infezione può verificarsi nella ferita o attorno alla protesi. Può accadere, durante l'ospedalizzazione oppure dopo, quando si va a casa. Può anche verificarsi dopo anni dall'intervento chirurgico. Infezioni localizzate nella zona della ferita sono generalmente trattate con antibiotici. Infezioni gravi o profonde possono richiedere altri interventi chirurgici fino alla rimozione della protesi. Qualsiasi infezione nel vostro corpo anche distante dal ginocchio, può diffondersi e arrivare fino alla vostra protesi.
- Coaguli di sangue (trombi). Coaguli di sangue nelle vene delle gambe sono la più comune complicanza della chirurgia protesica del ginocchio. Questi coaguli possono essere pericolosi per la vita se si rompono, si staccano e iniziano a viaggiare verso i polmoni dando origine ad un'embolia polmonare. Il chirurgo ortopedico applicherà un programma di prevenzione, che può includere elevazione periodica delle gambe, esercizi per le gambe precoci per aumentare la circolazione, utilizzo di calze elastiche e farmaci per rendere più fluido il sangue (eparina).
- Problemi dell'impianto. Anche se i materiali, nonché le tecniche chirurgiche, continuano ad avanzare, le superfici impiantate possono logorare e le componenti della vostra protesi possono allentarsi e mobilizzarsi. Inoltre, anche se in media la flessione di 115 ° del vostro ginocchio è generalmente prevista dopo l'intervento chirurgico, occasionalmente possono svilupparsi aderenze cicatriziali del ginocchio, che limiteranno il movimento, soprattutto in quei pazienti che avevano un movimento molto limitato già prima dell'intervento chirurgico.
- Dolore continuo. Un piccolo numero di pazienti continuano ad avere dolore dopo una protesi di ginocchio e in alcuni casi il motivo è difficile da individuare. Questa complicanza è rara; la stragrande maggioranza dei pazienti riferisce un'esperienza eccellente soprattutto di sollievo dal dolore a seguito di intervento di protesi del ginocchio.
- Lesioni neurovascolari. Lesioni ai nervi o ai vasi sanguigni intorno al ginocchio sono una complicanza molto rara ma che può verificarsi durante l'intervento chirurgico.
- Allergie a componenti metalliche (ignote precedentemente al paziente): gli impianti protesici sono costituiti da leghe di vari elementi metallici. In alcuni rari casi si possono verificare fenomeni di intolleranza nei confronti di certuni di questi elementi che possono provocare estrinsecazioni cliniche a diverse forme di gravità.
Preparazione all’intervento chirurgico
Valutazione medica (prericovero)
Se decidete di sottoporvi a intervento chirurgico di protesi totale del ginocchio, il Chirurgo ortopedico programmerà un esame fisico completo con l’anestesista (visita prericovero) diverse settimane prima dell'operazione. Questo è necessario per assicurarsi che siate abbastanza sani per affrontare l'intervento chirurgico e per completare il processo di recupero. Molti pazienti con patologie croniche, come le malattie cardiache, possono anche necessitare una valutazione di uno specialista, come un cardiologo, prima della chirurgia. Presso il nostro Reparto eseguirete questo prericovero (in regime ambulatoriale) circa 1 mese prima dell'intervento dove farete una visita medica generale per valutare le vostre condizioni e correggere eventuali anomalie che possono aumentare i rischi collegati all'anestesia e all'intervento. Durante il prericovero potranno essere eseguite radiografie necessarie per pianificare l’intervento chirurgico.
Test
Diversi test, come gli esami del sangue e delle urine, e un elettrocardiogramma, possono essere necessari per aiutare il Chirurgo ortopedico nel pianificare il vostro intervento chirurgico.
Farmaci
Informi il Chirurgo ortopedico e l’anestesista durante il prericovero circa i farmaci che sta assumendo. Vi diranno di quali farmaci dovrete interrompere l'assunzione e quali dovrete continuare a prendere prima dell'intervento chirurgico.
Valutazione dei denti
Sebbene l'incidenza d’infezione dopo la protesi del ginocchio è molto bassa, questa si può verificare se i batteri entrano nel flusso sanguigno. Per ridurre il rischio d’infezione, le principali procedure dentali (come estrazioni dentarie e lavoro periodontale) devono essere completate prima del vostro intervento chirurgico di protesi totale del ginocchio. Informate il vostro Chirurgo se avete ascessi cronici dentali.
Esami delle urine
Le persone con una storia recente o di frequenti infezioni urinarie dovrebbero eseguire una valutazione urologica prima dell'intervento chirurgico. Gli uomini più anziani con malattia della prostata dovrebbero completare il trattamento richiesto per il loro problema urologico prima di intraprendere la chirurgia di protesi del ginocchio.
Pianificazione sociale
Anche per i pazienti sono in grado di camminare con le stampelle o un deambulatore subito dopo l'intervento chirurgico, c’è bisogno di aiuto per diverse settimane per eseguire attività come cucinare, fare il bagno, fare il bucato etc.
Presso il nostro ospedale siamo in grado di seguirvi nel vostro recupero per 10 giorni circa dopo l'intervento chirurgico nel nostro reparto di Fisioterapia solo in caso di interventi particolarmente complessi come revisioni protesiche. In alternativa è disponibile un percorso simile fornito totalmente dal Sistema Sanitario Nazionale presso strutture convenzionate. Questo percorso può essere attivato facendone richiesta al momento del ricovero e può aiutarvi quando rientrerete presso la vostra abitazione.
L’intervento chirurgico
È molto probabile che entrerete in ospedale il giorno prima del vostro intervento.
Anestesia
Durante il prericovero sarete valutati da un Medico del team di anestesia. I più comuni tipi di anestesia sono anestesia generale (dormirete) o spinale (sarete svegli, ma il vostro corpo sarà insensibile dalla vita in giù). Il team di anestesia determinerà quale tipo di anestesia sia la più adatta per voi.
Intervento chirurgico
Una sostituzione del ginocchio (intervento chiamato anche protesi del ginocchio) potrebbe essere più accuratamente definita come un "rivestimento" del ginocchio perché verrà sostituita solo la superficie delle ossa. Il Chirurgo ortopedico rimuoverà la cartilagine danneggiata e l'osso quindi impianterà il nuovo ginocchio di metallo e plastica per ripristinare l'allineamento e la funzione del vostro ginocchio. La procedura chirurgica richiede in media circa 1-2 ore.
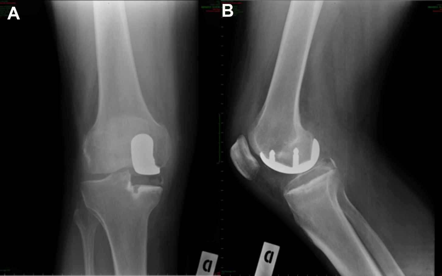
La protesi del ginocchio può essere totale o monocompartimentale.
Nella protesi totale del ginocchio (Fig. 4 e 5) vengono sostituite con parti metalliche le superfici di cartilagine danneggiate e una piccola quantità di osso sottostante alle estremità del femore e della tibia di tutto il ginocchio. Le parti metalliche generalmente vengono cementate all'osso con uno speciale cemento. Un inserto di plastica speciale molto resistente viene inserito tra le componenti metalliche per creare una superficie di scorrimento liscia. La superficie inferiore della rotula viene tagliata e sostituita con un bottone di plastica che viene anch’esso cementato. Alcuni chirurghi non protesizzano la rotula o lo fanno a seconda del caso, altri (come noi) la protesizzano sempre: non vi è evidenza scientifica in letteratura che dimostri la superiorità di una scelta rispetto all'altra quindi la scelta di protesizzare la rotula o meno dipenderà essenzialmente dall'esperienza del singolo Chirurgo.
Presso il nostro reparto vengono utilizzate le tecnologie più innovative di chirurgia computer assistita (5,6) e nuove tecniche chirurgiche (2) che ci consentono di eseguire, quando necessario, interventi chirurgici di protesizzazione in casi complessi con deformità extra-articolari e con tecnica mini-invasiva.
Nella protesi monocompartimentale del ginocchio (Fig. 5 e 6) vengono sostituite con parti metalliche le superfici di cartilagine danneggiate e una piccola quantità di osso sottostante alle estremità del femore e della tibia solo di un compartimento (mediale o laterale) del ginocchio. I legamenti del ginocchio non vengono sacrificati. Questa protesi è meno invasiva di quella totale (4), consente un recupero più veloce ma può essere utilizzata solo nei casi in cui l’artrosi non coinvolga gli altri compartimenti del ginocchio (compartimento contro-laterale e/o femoro rotuleo). Esistono anche protesi monocompartimentali di femoro-rotulea: queste vengono utilizzate in casi selezionati di artrosi a carico di questo compartimento.



La degenza
È molto probabile che resterete in ospedale per diversi (5-7) giorni.
Gestione del dolore
Dopo l'intervento chirurgico, avvertirete dolore, ma il Chirurgo e gli infermieri somministreranno farmaci per ridurlo. La gestione del dolore è una parte importante della vostra guarigione. La deambulazione e il movimento del ginocchio inizierà subito dopo l'intervento chirurgico, appena sentirete meno dolore, questo aiuterà a riprendere le forze in modo più rapido (3).
Prevenzione dei coaguli di sangue (Trombosi Venosa Profonda -TVP-)
Il chirurgo ortopedico può prescrivere uno o più misure per prevenire i coaguli di sangue e diminuire il gonfiore delle gambe. Questi possono includere calze elastiche vascolari a compressione graduale, e fluidificanti del sangue (eparina).
Subito dopo l'intervento chirurgico saranno incoraggiati il movimento del piede e della caviglia per aumentare il flusso di sangue nei muscoli delle gambe e quindi per aiutare a prevenire il gonfiore delle gambe e la formazione di coaguli di sangue.
Fisioterapia
Sarà utilizzata una macchina per il movimento passivo continuo per aiutare a prevenire la rigidità post-operatoria del ginocchio nel primo periodo postoperatorio. Il dispositivo chiamato Kinetec, inoltre, riduce il gonfiore delle gambe, solleva la gamba e migliora la circolazione sanguigna muovendo i muscoli della gamba.
La maggior parte dei pazienti inizierà a esercitare il ginocchio il giorno dopo l'intervento. Un fisioterapista vi insegnerà esercizi specifici per rafforzare la gamba e ripristinare il movimento del ginocchio per permettervi di recuperare il prima possibile le normali attività quotidiane subito dopo l'intervento chirurgico.
Altre informazioni utili
Si può perdere l'appetito e si può avvertire nausea o stitichezza per un paio di giorni. Queste sono reazioni normali. Può essere necessario che un catetere urinario venga inserito durante l'intervento chirurgico e possono essere necessari emollienti delle feci o lassativi per alleviare la stitichezza causata dai farmaci antidolorifici dopo l'intervento chirurgico.
È importante che vi alziate il prima possibile dopo l'intervento chirurgico. Anche a letto, si possono muovere i piedi e le caviglie per pompare regolarmente il sangue nelle gambe. Potrebbe essere necessario indossare calze elastiche vascolari per aiutare il sangue a scorrere nelle gambe.
Il vostro soggiorno nel nostro ospedale può durare da 5 a 21 giorni, finché raggiungerete determinate abilità per tornare a casa ed essere sufficientemente autonomi. Se andate subito a casa, avrete comunque bisogno di aiuto in casa per diverse settimane. Potrebbe quindi essere comunque necessario eseguire a domicilio alcuni cicli di riabilitazione.
La vostra convalescenza a casa
Diverse modifiche possono rendere più facile la deambulazione nella vostra casa durante il recupero. I seguenti suggerimenti possono aiutarvi con le attività quotidiane:
- Barre di sicurezza o un corrimano sicuro nella vostra doccia o vasca da bagno.
- Corrimano sicuri lungo le scale.
- Una sedia stabile con un cuscino del sedile fermo (e una altezza di 45-50 cm).
- Un rialzo del water se si dispone di un WC basso.
- Un banco doccia stabile o una sedia per la doccia.
- Rimozione di tutti i tappeti e degli ostacoli.
- Uno spazio di vita temporaneo sullo stesso piano, perché fare le scale sarà più difficile durante la prima fase di recupero.
Il successo del vostro intervento chirurgico dipenderà in gran parte da come si seguono le istruzioni del vostro Chirurgo ortopedico a casa durante le prime settimane dopo l'intervento chirurgico.
La cura della ferita chirurgica
Avrete punti o graffette metalliche che corrono lungo la vostra ferita sulla parte anteriore del ginocchio. I punti o le graffette saranno rimossi circa 3 settimane dopo l'intervento chirurgico.
È vietato fare la doccia o il bagno in acqua fino a quando i punti non sono stati rimossi e la ferita non è completamente chiusa ed asciutta. È possibile continuare a bendare la ferita per evitare l'irritazione da indumenti o calze elastiche anche dopo la desutura.
Esercizi a casa
Il vostro programma di attività dovrebbe includere:
- Un programma graduale di deambulazione per aumentare lentamente la vostra mobilità, inizialmente in casa e poi fuori.
- Riprendere le altre attività domestiche normali, come sedersi, alzarsi in piedi, e salire le scale.
- Esercizi specifici più volte al giorno per ripristinare la circolazione e rafforzare il ginocchio. Probabilmente sarete in grado di eseguire gli esercizi senza aiuto, ma l'aiuto di un fisioterapista in casa o in un centro di riabilitazione le prime settimane dopo l'intervento chirurgico può essere utile.
- Una cyclette a casa aiuta molto. La cyclette è l'esercizio migliore che potete fare per il vostro ginocchio. Utilizzatela all'inizio con il sellino alto e senza resistenza, con il passare dei giorni abbassate gradualmente il sellino per consentire una maggiore flessione del ginocchio ed aumentate la resistenza del freno per favorire il potenziamento muscolare.
Guida della macchina
È molto probabile che sarete in grado di riprendere la guida della macchina quando il vostro ginocchio si piegherà sufficientemente da consentirvi di entrare e di sedervi comodamente in auto, e quando il vostro controllo muscolare fornirà il tempo di reazione adeguato per la frenata e l'accelerazione. La maggior parte delle persone riprende la guida dopo circa 4-6 settimane dall'intervento chirurgico.
Prevenzione delle complicanze dopo la chirurgia
Prevenzione dei coaguli di sangue
Seguite attentamente le istruzioni del vostro Chirurgo ortopedico per ridurre il rischio di coaguli di sangue (trombi) in via di sviluppo durante le prime settimane di recupero. Il chirurgo può raccomandare di continuare ad assumere il farmaco anticoagulante del sangue che è stato iniziato in ospedale (N.B. durante l'assunzione di questi farmaci anticoagulanti bisognerà eseguire le prove ematiche della coagulazione ogni 10-15 giorni per evitare complicanze relative alla loro assunzione). Contattare immediatamente il Medico se si sviluppa uno dei seguenti segnali di pericolo.
I segnali di pericolo di coaguli di sangue nella gamba includono:
- Aumento del dolore al polpaccio.
- Gonfiore o arrossamento sopra o sotto il ginocchio.
- Aumentato gonfiore al polpaccio, caviglia e piede.
I segnali di pericolo di embolia polmonare (quando un coagulo di sangue è arrivato al polmone) sono:
- Improvvisa mancanza di respiro.
- Improvvisa insorgenza di dolore toracico.
- Dolore toracico localizzato con tosse.
Prevenzione delle infezioni
Una causa comune d’infezioni a seguito di intervento chirurgico di protesi totale del ginocchio è la presenza di batteri che entrano nel flusso sanguigno durante le procedure dentistiche, infezioni del tratto urinario o infezioni della pelle. Questi batteri possono arrivare intorno al ginocchio e causare un'infezione.
Dopo la vostra protesi del ginocchio, è necessario prendere antibiotici preventivi prima di procedure dentali o chirurgiche che potrebbero consentire ai batteri di entrare nel flusso sanguigno.
I segnali di pericolo d’infezione. Avvisare immediatamente il Medico se sviluppa uno dei seguenti segni di una possibile infezione della protesi di ginocchio:
- Febbre persistente (superiore a 38°) per più di 2 giorni.
- Brividi.
- Aumento del rossore o gonfiore del ginocchio.
- Deiscenza, apertura, e fuoriuscita di liquido dalla ferita del ginocchio.
- Aumento del dolore al ginocchio sia con attività sia a riposo.
Evitare le cadute
Una caduta durante le prime settimane dopo l'intervento chirurgico può danneggiare il vostro nuovo ginocchio e può comportare la necessità di un ulteriore intervento chirurgico. Le scale sono un pericolo particolare fino a quando il ginocchio non è forte e mobile. Si dovrebbe usare un bastone, stampelle, un girello, corrimani, o avere qualcuno che vi aiuti finché non si è migliorato l'equilibrio, la flessione e la forza.
Risultati della Protesi di ginocchio
Il vostro nuovo ginocchio
Uno degli obiettivi della protesi di ginocchio è il miglioramento del movimento, ma il recupero del movimento completo è raro. (1) Il movimento che avrà il vostro ginocchio dopo l'intervento chirurgico può essere previsto in base al movimento che avevate prima dell'intervento chirurgico. La maggior parte dei pazienti può aspettarsi di essere in grado di raddrizzare quasi completamente il ginocchio protesizzato e di piegare il ginocchio a sufficienza per salire le scale ed entrare e uscire da una macchina.
La maggior parte delle persone sente un po' di intorpidimento della pelle intorno alla ferita. Si può anche sentire un po' di rigidità, in particolare con l'attività di flessione.
La maggior parte delle persone avverte dei click del metallo e plastica quando il ginocchio si piega o quando si cammina. Questo è normale. Queste differenze rispetto ad un ginocchio non protesizzato spesso diminuiscono con il tempo e la maggior parte dei pazienti le trova tollerabili se confrontate con il dolore e le limitazioni funzionali che hanno prima dell'intervento chirurgico.
Il vostro nuovo ginocchio può attivare i metal detector necessari per la sicurezza negli aeroporti e in alcuni edifici. Parlate con l'agente di sicurezza della vostra protesi del ginocchio, se si attiva l'allarme.
Come proteggere la vostra protesi di ginocchio
Dopo l'intervento chirurgico, assicuratevi di fare quanto segue:
- Partecipate a programmi regolari di esercizi leggeri per mantenere la giusta forza e la mobilità del vostro nuovo ginocchio.
- Prendete precauzioni particolari per evitare cadute e infortuni.
- Assicuratevi che il vostro dentista sappia che avete una protesi di ginocchio. Dovrete assumere degli antibiotici prima della chirurgia dentale per il resto della vostra vita.
- Vedete il vostro Chirurgo ortopedico periodicamente per una visita e raggi X, di solito una volta all'anno.
La durata della vostra protesi di ginocchio
Attualmente, oltre il 90% delle moderne protesi totali di ginocchio sta ancora funzionando bene 15 anni dopo l'intervento chirurgico. Seguire le istruzioni del vostro Chirurgo ortopedico dopo l'intervento e avere cura di proteggere la protesi del ginocchio e la vostra salute generale sono importanti metodi per contribuire al successo finale del vostro intervento.
Bibliografia
1. Zaffagnini S, Bignozzi S, Saffarini M, Colle F, Sharma B, Kinov PS, Marcacci M, Dejour D. Comparison of stability and kinematics of the natural knee versus a PS TKA with a 'third condyle'. Knee Surg Sports Traumatol Arthrosc. 2014 Aug;22(8):1778-85.
2. Iacono F, Raspugli GF, Bruni D, Filardo G, Zaffagnini S, Luetzow WF, Lo Presti M, Akkawi I, Marcheggiani Muccioli GM, Marcacci M. The adductor tubercle as an important landmark to determine the joint line level in total knee arthroplasty: from radiographs to surgical theatre. Knee Surg Sports Traumatol Arthrosc. 2014 Dec;22(12):3034-8.
3. Zaffagnini S. Gabapentin did not reduce morphine consumption, pain, or opioid-related side effects in total knee arthroplasty. J Bone Joint Surg Am. 2013 Nov 20;95(22):2060.
4. Bruni D, Iacono F, Russo A, Zaffagnini S, Marcheggiani Muccioli GM, Bignozzi S, Bragonzoni L, Marcacci M. Minimally invasive unicompartmental knee replacement: retrospective clinical and radiographic evaluation of 83 patients. Knee Surg Sports Traumatol Arthrosc. 2010 Jun;18(6):710-7
5. Casino D, Zaffagnini S, Martelli S, Lopomo N, Bignozzi S, Iacono F, Russo A, Marcacci M. Intraoperative evaluation of total knee replacement: kinematic assessment with a navigation system. Knee Surg Sports Traumatol Arthrosc. 2009 Apr;17(4):369-73
6. Martelli S, Ellis RE, Marcacci M, Zaffagnini S. Total knee arthroplasty kinematics. Computer simulation and intraoperative evaluation. J Arthroplasty. 1998 Feb;13(2):145-55.
Autori: Prof. Stefano Zaffagnini, Dr. Giulio Maria Marcheggiani Muccioli, Dr.ssa Maria Pia Neri, Dr. Mirco Lo Presti, Dr. Alessandro Russo, Dr. Alessandro Di Martino, Dr. Alberto Grassi, Dr. Matteo Romagnoli, Dr. Massimiliano Mosca, Prof. Vittorio Vaccari, Struttura Complessa Clinica Ortopedica e Traumatologica II, Istituto Ortopedico Rizzoli.
Scheda informativa revisionata il: 7 Giugno 2017.