Main container

Agobiopsia percutanea TC-guidata

L'agobiopsia percutanea è una procedura mininvasiva di radiologia interventistica che consente di ottenere, tramite un ago da biopsia introdotto sotto controllo TC e/o Ecografico, più campioni di tessuto da una lesione del sistema muscolo-scheletrico. Il tessuto prelevato serve per definire la natura dell'alterazione. Nell'approccio alla lesione bisogna tenere presenti diverse problematiche operative immediate (salvaguardia delle strutture nobili adiacenti, scelta della zona anatomopatologicamente più significativa, necessità tecniche per eseguire il prelievo, sede anatomica dell'alterazione, condizioni del paziente, ecc) e future (in particolare, scelta della via di approccio in funzione di un successivo trattamento chirurgico); per questo motivo riteniamo che l'agobiopsia debba essere eseguita nella stessa struttura ospedaliera che si prenderà carico del successivo trattamento del paziente.

La procedura viene solitamente eseguita in anestesia locale con blanda sedazione generale, ma in casi più particolari o nel trattamento di pazienti pediatrici, vi è la possibilità di ricorrere a procedure in narcosi con il supporto anestesiologico, aumentando il confort e la sicurezza del paziente complesso.

La procedura si effettua in regime di ricovero (day hospital-day surgery) ed il paziente viene dimesso in giornata dopo breve osservazione post-procedura.
Il nostro istituto esegue più di 700 biopsie ECO-TC guidate /anno.

Esami da eseguire

L'agobiopsia si esegue dopo una stadiazione completa (Esame Radiografico, Tomografia Computerizzata e/o Risonanza Magnetica e Scintigrafia Scheletrica) che permette di ottenere tutte le informazioni di orientamento diagnostico sulla lesione e di pianificare al meglio la procedura agobioptica.

Indicazioni

L'agobiopsia è stata finora utilizzata a fini diagnostici soprattutto nel sospetto di lesioni infiammatorie (per confermare il sospetto e identificare il microrganismo patogeno) o neoplastiche (per confermare il sospetto), determinarne la natura (benigna o maligna) e l'istotipo, l'origine (primitiva o secondaria). L'esecuzione della biopsia è imprescindibile nel 'management' dei tumori muscolo-scheletrici, primitivi e secondari, nei quali consente di avere una diagnosi di certezza e un orientamento prognostico indispensabili per una corretta pianificazione terapeutica.

Di recente questa procedura è utilizzata anche per valutare i fenomeni di osteointegrazione nei trapianti ossei, per identificare i recettori nelle metastasi da carcinoma mammario e pianificarne al meglio la terapia, per valutare il risultato della radio/chemioterapia.

Controindicazioni

Gli stati settici e soprattutto le importanti discrasie emorragiche costituiscono controindicazioni pressoché assolute all'esecuzione della procedura.

Immagini

Immagini radiologiche agobiopsia

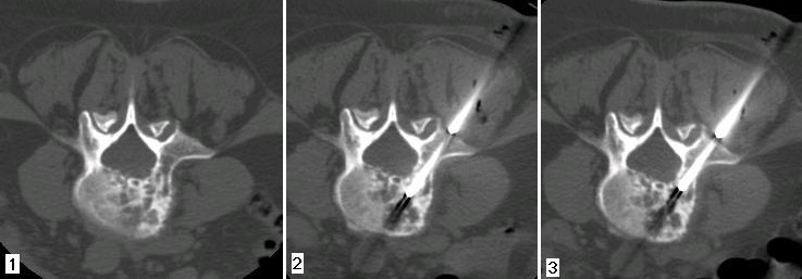
Figura 1 - La scansione TC dimostra un evidente rimaneggiamento osteostrutturale di tipo misto del corpo e del peduncolo di Ds di L4 in una paziente di 57 anni.

Figura 2 - I prelievo: la scansione TC dimostra l'esatto posizionamento della camicia introduttrice (8G) del set agobioptico e il corretto posizionamento dell'agobioptico (11 G) nel peduncolo.

Figura 3 - II prelievo: dopo aver estratto la prima 'carota' di tessuto si procede al II prelievo attraverso la camicia introduttrice che resta in situ ma che è stata inclinata in senso cranio-caudale per ottenere un'altra 'carota'; la scansione TC dimostra la posizione adeguata dell'agobioptico prima della sua estrazione. Diagnosi: metastasi da adenocarcinoma mammario di grado 3.

Autore: Dr. Marco Miceli, direttore della Struttura Complessa Radiologia diagnostica e interventistica, Istituto Ortopedico Rizzoli.

Scheda revisionata il: 7 giugno 2021.

Here we deal with health