Main container

Termoablazione delle lesioni del sistema muscolo-scheletrico

Introduzione

La termoablazione produce una coagulazione termica al fine di trattare la patologia in maniera mini-invasiva.

La termoablazione delle patologie del sistema muscolo scheletrico trova indicazione in:
•    Osteoma osteoide
•    Metastasi ossee e delle parti molli
•    Lesioni benigne dolorose (herniation pit, geodi)
•    Lesioni benigne ad aggressività locale (condroblastoma epifisario o vertebrale, cordoma, tumore gigantocellulare) e loro recidive chirurgiche
•    Piccoli ascessi di Brodie

La termoablazione è eseguibile sotto controllo TC con la possibilità di effettuare anche biopsia, oppure attraverso un innovativo sistema di interventistica RM Ultrasuoni Focalizzati con guida di Risonanza Magnetica.

Il trattamento di termoablazione, viene eseguito sia su paziente adulto che pediatrico, con l’ausilio del supporto anestesiologico per i casi più complessi e prevede di norma il ricovero per una notte.

L’ultimo vanto della Struttura Complessa di Radiologia Diagnostica ed Interventistica è la possibilità di utilizzare la crioablazione (termoablazione a freddo) come tecnica per il trattamento di tumori muscoloscheletrici.

Immagini

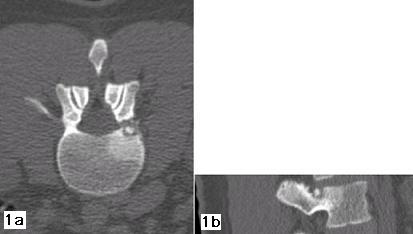
Figure 1a e 1b - La scansione TC sul piano trasversale (fig. 1a) e la ricostruzione su quello sagittale (fig. 1b) evidenziano la presenza di un piccolo osteoma osteoide del peduncolo Ds di L2 che aggetta nel forame di coniugazione.
Figure 1a e 1b - La scansione TC sul piano trasversale (fig. 1a) e la ricostruzione su quello sagittale (fig. 1b) evidenziano la presenza di un piccolo osteoma osteoide del peduncolo Ds di L2 che aggetta nel forame di coniugazione.
Figure 2a e 2b - La scansione TC sul piano trasversale (fig. 2a) e la ricostruzione su quello sagittale (fig. 2b) dimostrano il corretto posizionamento dell'agoelettrodo (22G). Dopo 10 ore dalla termoablazione il paziente non ha più accusato il tipico dolore da osteoma osteoide.
Figure 2a e 2b - La scansione TC sul piano trasversale (fig. 2a) e la ricostruzione su quello sagittale (fig. 2b) dimostrano il corretto posizionamento dell'agoelettrodo (22G). Dopo 10 ore dalla termoablazione il paziente non ha più accusato il tipico dolore da osteoma osteoide.
Figura 3 - Il controllo con RM, eseguito dopo 15 mesi dalla procedura, non fa più apprezzare l'osteoma osteoide; le strutture foraminali sono indenni; sono ancora presenti modesti fenomeni riparativi nella sede della termoablazione.
Figura 3 - Il controllo con RM, eseguito dopo 15 mesi dalla procedura, non fa più apprezzare l'osteoma osteoide; le strutture foraminali sono indenni; sono ancora presenti modesti fenomeni riparativi nella sede della termoablazione.

Autore: Dr. Marco Miceli, direttore della Struttura Complessa Radiologia diagnostica e interventistica, Istituto Ortopedico Rizzoli.

Scheda informativa revisionata il: 8 giugno 2021.

Here we deal with health