La Displasia Congenita dell’Anca (DCA) è una malformazione congenita che porta gradualmente la testa del femore a dislocarsi dalla cavità acetabolare.
È la più comune patologia ortopedica che si riscontra nei neonati, con una frequenza variabile tra i vari paesi; in Italia è stimata tra 0.1 e 0.7%, anche se è in aumento, considerando i flussi migratori. L’eziologia è multifattoriale e presenta numerosi fattori di rischio: genetico (carattere familiare, il sesso femminile è più colpito), anatomico (presentazione podalica alla nascita) e ambientali.
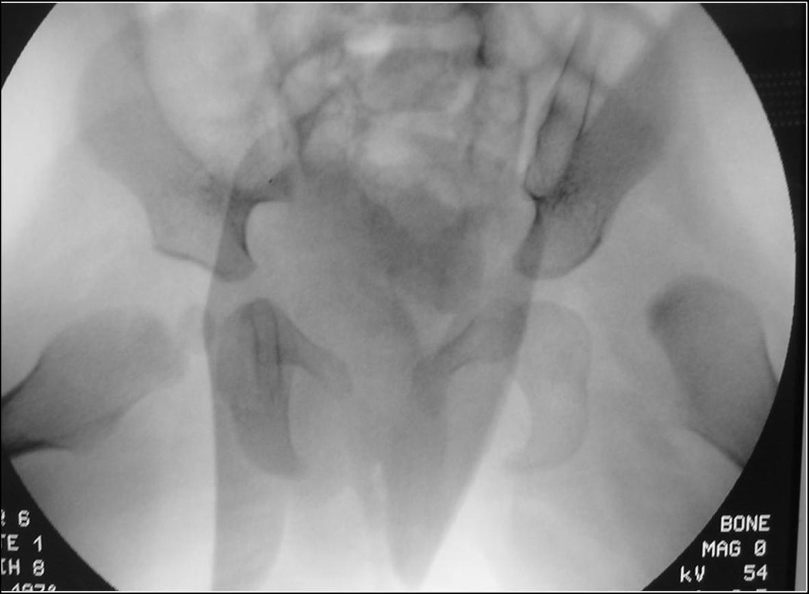
La diagnostica della DCA si avvale di un accurato esame clinico, una ecografia delle anche e una radiografia del bacino. Tutte assieme permettono di valutare il grado di stabilità e maturazione dell’anca e quindi intraprendere il trattamento più adeguato.
Durante l’esame clinico si valutano la simmetria delle pliche cutanee e glutee, l’ampiezza e la simmetria dell’abduzione delle anche e la presenza di eventuali dismetrie tra le due gambe (test di Galeazzi). Si effettuano inoltre le due principali manovre indicative di instabilità: il test di Ortolani e il test di Barlow. Il primo evidenzia una testa del femore sublussata o dislocata poiché viene ridotta nell’acetabolo con un delicato movimento di abduzione dell’anca, è il test clinico più importante per sospettare la presenza della patologia. La seconda è una manovra durante la quale la testa del femore viene gentilmente addotta fino alla possibile lussazione.
Attraverso lo screening ecografico è possibile effettuare una classificazione della DCA, usando quella descritta da Graf. È importante effettuarlo dopo le 6 settimane di vita per escludere dal trattamento tutti i casi di “falsa positività” data da una instabilità fisiologica dei tessuti, e che tende a risolversi spontaneamente. La classificazione sec. Graf è basata sul calcolo dell’angolo ALFA e dell’angolo BETA, e distingue IV tipi di gravità crescente.
La radiografia è un esame di secondo livello nello studio della DCA. È limitata allo studio dell’osso senza evidenziare i tessuti molli, per questo è riservata nei pazienti dai 4-6 mesi d’età, o che sono già in trattamento.
Se non trattata correttamente, la DCA può esitare in una zoppia persistente con limitazione nelle normali attività quotidiane fino ad una artrosi precoce. Per questo una diagnosi precoce è necessaria affinché venga intrapreso il trattamento il più precocemente possibile.
Il trattamento varia a seconda dell’età del paziente e alla gravità della DCA.
Gli obiettivi da raggiungere nel trattamento sono tre: riduzione dell’epifisi femorale, contenzione della stessa e maturazione dell’anca. La presenza dell’epifisi femorale nella cavità acetabolare permette una corretta maturazione di entrambe le porzioni ossee, mantenendo la sfericità femorale e permettendo lo sviluppo delle strutture osteo-cartilaginee acetabolari.



Nei primi mesi di vita, è indicato l’uso di divaricatori che permettono una corretta maturazione mutuale di femore e acetabolo. Ne esistono di diversi tipi: i tutori dinamici, che permettono minimi movimenti dell’anca anche a tutore indossato, trovano indicazione nei casi più lievi e nei pazienti più piccoli. Nei quadri più severi o in pazienti più grandi, è consigliato l’uso di tutori statici.
In entrambi i casi, è importante che siano adeguatamente posizionati, e mantenuti per il tempo necessario, in relazione alle caratteristiche della DCA.

Nei quadri di maggior displasia, la contenzione con divaricatori non è la soluzione definitiva.
La centrazione viene ottenuta attraverso il confezionamento di gessi pelvi-podalici modellati in anestesia generale, preceduti o meno da una trazione progressiva dell’arto inferiore.
Quest’ultima, riservata soprattutto ai casi di Lussazione dell’Anca (LCA), è eseguita in ambiente ospedaliero sotto uno stretto controllo medico-infermieristico.

In rari casi, anche con il confezionamento di un gesso, la riduzione non è ottenuta, ad indicare la presenza di ingombri fisici che ne impediscono la riduzione. L’unico modo per ripristinare la congruenza articolare è rimuoverli con un intervento chirurgico mirato. A seguito l’immobilizzazione in gesso permette la formazione di una cicatrice resistente, mantenendo in sede i capi articolari.
Il trattamento conservativo non è valido in tutti i casi. Si è riscontrata una minor percentuale di successo se effettuata in pazienti più grandi (a partire dai 2 anni) o in quadri secondari (paralisi cerebrali, artrogriposi, cromosomopatie, etc).
In questi casi si ricorre a soluzioni chirurgiche che associano tempi sui tessuti molli e sulle strutture ossee. Vengono per cui presi in considerazione osteotomie femorali o di bacino, acetabuloplastiche per migliorare la continenza acetabolare, tenotomie degli adduttori e ritensionamento capsulare.



BIBLIOGRAFIA
1. Agostiniani, R., Atti, G., Bonforte, S., Casini, C., Cirillo, M., De Pellegrin, M., ... & Vezzali, N. (2020). Recommendations for early diagnosis of Developmental Dysplasia of the Hip (DDH): working group intersociety consensus document. Italian Journal of Pediatrics, 46(1), 1-7.
2. Shaw, Brian A., and Lee S. Segal. "Evaluation and referral for developmental dysplasia of the hip in infants." Pediatrics 138.6 (2016).
3. Barrera, Christian A., et al. "Imaging of developmental dysplasia of the hip: ultrasound, radiography and magnetic resonance imaging." Pediatric radiology 49.12 (2019): 1652-1668.
4. Alves, C., Truong, W. H., Thompson, M. V., Suryavanshi, J. R., Penny, C. L., Do, H. T., & Dodwell, E. R. (2018). Diagnostic and treatment preferences for developmental dysplasia of the hip: a survey of EPOS and POSNA members. Journal of children's orthopaedics, 12(3), 236-244.
5. Vaquero-Picado, A., González-Morán, G., Garay, E. G., & Moraleda, L. (2019). Developmental dysplasia of the hip: update of management. EFORT open reviews, 4(9), 548-556.
6. American Academy of Orthopaedic Surgeons. Detection and nonoperative management of pediatric developmental dysplasia of the hip in infants up to six months of age: evidence-based clinical practice guideline. Adopted by the American Academy of Orthopaedic Surgeons Board of Directors; 2014.
Autori: Dott. G. Trisolino, Dott. D. Ferrari, Dott. A. Manca, Dott. S. Stallone, Struttura Complessa di Ortopedia e Traumatologia Pediatrica, Istituto Ortopedico Rizzoli.
Scheda informativa revisionata il: 23 luglio 2021.