Numerosi interventi dall’aggressività chirurgia molto ridotta, ideati e divulgati nella comunità scientifica internazionale dal Prof. Sandro Giannini, sono applicati anche presso la Clinica Ortopedica e Traumatologica I.
È stato organizzato un ambulatorio di chirurgia del piede, nel quale sono stati valutati pazienti con deformità congenite e acquisite dell’avampiede, del medio piede e del retropiede. Ogni deformità è stata attentamente studiata attraverso un esame clinico morfologico e funzionale, oltre che strumentale, allo scopo di proporre la migliore strategia chirurgica.
Le deformità dell’avampiede coinvolgenti le dita, sono state tipizzate allo scopo di stabilire la tecnica chirurgia più adeguata: dalla correzione dell’alluce valgo isolato con tecnica mini invasiva SERI (a) ideata dal Prof. Giannini, fino alla correzione di complesse deformità coinvolgenti i metatarsali esterni e tutte le dita. Per ogni tipo di intervento, a seconda dell’estensione della correzione sono stati organizzati percorsi di trattamento diversi.
Tra le deformità del retropiede è da citare la correzione del piede cavo, che è sempre stata eseguita in collaborazione con il neurologo per giungere a una diagnosi etiologica, necessaria alla scelta del tipo di intervento. È grazie alla collaborazione con il Prof. Luciano Merlini che sono state eseguite diagnosi di miopatie o distrofie muscolari anche molto rare in oltre l’85% dei piedi cavi trattati. L’intervento correttivo (b), appreso alla scuola del Prof. Giannini ha destato vivo interesse all'AAOS venendo accettato come Scientific exhibit e essendo premiato con la pubblicazione sul Journal Bone and Joint Surgery americano.
Per quanto riguarda la correzione del piede piatto, è stato applicato un algoritmo in base all’età di osservazione: durante l’acrescimento è stato eseguito l’intervento di artrorisi dell’articolazione sottoastragalica con endortesi riassorbibile di Giannini (c), ad accrescimento ultimato in caso di articolazione non artrosica sono state eseguite delle osteotomie di calcagno, mentre nel piede piatto artrosico inveterato sono state eseguite artrodesi correttive a livello della sottoastragalica o della mediotarsica (d). Ciascun intervento ha richiesto il disegno di una strategia clinica e riabilitativa diverso.
Particolare attenzione è stata rivolta alla patologia post traumatica del piede. Gli esiti di distorsioni della caviglia con lesioni della cartilagine articolare sono state riparati utilizzando scaffolds di materiale bioingegnerizzato e cellule mesenchimali pluripotenti autologhe prelevate da midollo osseo dei pazienti che, differenziandosi in fenotipo condrale, ripristinano la continuità dello strato di cartilagine articolare. Gli esiti delle fratture della caviglia, dell’astragalo e del calcagno, che possono presentare quadri di grave deformità e artrosi secondaria post-traumatica, hanno reso necessari interventi di ricostruzione articolare o di artrodesi modellanti.
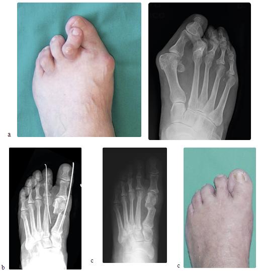
Caso 1: Alluce valgo e dita ad artiglio associati a metatarsalgia
Femmina, 70 anni, alluce valgo bilaterale di grado severo, associato a deformità ad artiglio del secondo e terzo dito (a). La deformità dell'avampiede causava metatarsalgia da sovraccarico del secondo e terzo raggio metatarsale. Sottoposta a intervento chirurgico di osteotomia del primo metatarso con tecnica SERI, osteotomia del secondo e del terzo metatarso con tecnica di Weil e correzione della deformità in griffe del secondo e terzo dito (b), con ottima correzione clinica e radiogradica della deformità (c).

Caso 2: Deformità complessa dell'avampiede in artrite reumatoide
Femmina, 67 anni, artrite reumatoide. La poliartrite infiammatoria cronica ha causato una deformità complessa dell'avampiede che coinvolge tutte le dita del piede con metatarsalgia incoercibile (a). Sottoposta a intervento di artrodesi dalla prima metatarsofalangea e resezione-artroplastica delle metatarsofalangee esterne (b) con riallineamento dell'avampiede. Ottimo risultato clinico e radiografico a 6 mesi dall'intervento (c).
Caso 3: Piede cavo in malattia di Charcot-Marie-Tooth
Maschio, 15 anni, piede cavo secondario da malattia di Charcot-Marie-Tooth (a). Sottoposto a correzione chirurgica del piede sinistro mediante intervento di fasciotomia plantare, osteotomia del tarso, trasposizione del tendine estensore lungo dell'alluce secondo tecnica di Jones ed osteotomia di sollevamento del primo metatarso (b). La tecnica chirurgica è stata presentata come Scientific Exhibit all'AAOS 2014. Riconosciuto come uno dei migliori lavori del convegno è stato selezionato per la pubblicazione sulla rivista Journal of Bone and Joint Surgery American. Il video di questo intervento verrà presentato come multimedia educational all'AAOS 2015.

Caso 4: Alluce valgo e dito ad artiglio
Femmina di 63 anni affetta da alluce valgo e deformità ad artiglio del 2° dito associata a lussazione della 2° metatarsofalangea (a). La deformità dell'avampiede era causa di metatarsalgia resistente al trattamento medico e ortesico. Sottoposta ad intervento chirurgico di osteotomia correttiva del primo metatarso con tecnica S.E.R.I., riduzione della lussazione metatarsofalangea e correzione della deformità ad artiglio del 2° dito (b), a distanza di 8 mesi dall'intervento chirurgico, l'avampiede si presenta corretto e la metatarsalgia risolta. Il controllo radiografico (c) mostra il rimodellamento del metatarso conseguente all'osteotomia.

Caso 5: Piede piatto dell'adulto
Maschio, 66 anni, grave deformità del retropiede secondaria a piede piatto non trattato (a). Sottoposto a intervento di artrodesi della sottoastragalica secondo Grice e allungamento del tendine di Achille. Il controllo a 8 mesi di distanza dall'intervento mostra il ripristino dell'arco plantare, del fisiologico allineamento del calcagno e del rapporto astragalo-scafoideo (b).

Caso 6: Piede paralitico in esiti di mielomeningocele
Femmina di 45 anni affetta da deformità complessa del retropiede e del mediopiede a sinistra con paralisi del tiabiale anteriore in esiti di mielomeningocele. Sottoposta a intervento chirurgico di artrodesi della sottoastragalica secondo Grice, artrodesi cuneometatarsale e trasposizione dell'estensore lungo dell'alluce secondo Jones. A 6 mesi dall'intervento il piede presenta un ottimo allineamento e una soddisfacente articolarità in dorsiflessione.

Caso 7: Piede piatto associato ad alluce valgo giovanile
Femmina di 11 anni affetta da piede piatto bilaterale e alluce valgo (a). Sottoposta ad intervento chirurgico di artrolisi dell'articolazione sottoastragalica con impianto di endortesi endosenotarsica riassorbibile secondo Giannini e asportazione di scafoide accessorio con tensionamento del tibiale posteriore, associato a osteotomia correttiva del primo metatarso con tecnica S.E.R.I. (b). Ottimo risultato clinico, funzionale e radiografico.

Autore: prof. Cesare Faldini, direttore della Clinica Ortopedica e Traumatologica I, Istituto Ortopodico Rizzoli
Scheda revisionata il: 25 settembre 2015.
