La scoliosi è la più comune deformità della colonna vertebrale in accrescimento. Nel visitare i pazienti in accrescimento con asimmetrie del tronco lievi, sono stati distinti gli atteggiamenti scoliotici posturali che non necessitano di alcun trattamento (troppo spesso oggetto di costose prescrizioni per le famiglie o per la collettività) e che devono essere soltanto controllati a distanza, dalla scoliosi strutturata evolutiva propriamente detta, che è una deformità laterale e permanente della colonna vertebrale associata a fenomeni di rotazione e deformità cuneiforme dei corpi vertebrali che il paziente non può correggere volontariamente.
Le curve scoliotiche lievi, osservate intorno al periodo della pubertà con scarsa rotazione sono state invitate ad un controllo evolutivo clinico ed RX a 4 mesi di distanza senza alcun trattamento. Il trattamento è stato iniziato solo in caso di dimostrato aggravamento al secondo controllo. Le scoliosi già diagnosticate come evolutive, sono state trattate mediante contenzione in corsetto ortopedico costruito su misura o in apparecchio gessato. Il corsetto ortopedico è stato prescritto, collaudato e controllato ogni tre mesi dall'inizio del trattamento fino al momento dello svezzamento ed è stato riservato a curve di entità media in pazienti con famiglie collaboranti.
L'apparecchio gessato, confezionato in regime di day service, ha richiesto l'attivazione di un precorso clinico dedicato, in una stretta collaborazione tra il medico ortopedico e l'infermiere esperto di sala gessi. Il trattamento richiede la confezione di un apparecchio gessato da portare circa tre mesi. Il trattamento può essere effettuato dall'autunno fino all'estate, periodo nel quale è sostituito dal trattamento con corsetto. Questo trattamento ha il vantaggio di ottenere una massima correzione della curva, di modellare più efficacemente il gibbo e di aumentare la compliance al corsetto.
Nelle curve scoliotiche di entità severa è stato organizzato il percorso chirurgico. L'intervento di correzione della scoliosi, oggi effettuato in pochi centri specializzati in Italia, permette di correggere deformità gravi la cui evoluzione può avere complicanze sulla funzionalità neurologica e cardiopolmonare, al prezzo di un intervento delicato, lungo e non esente da rischi che richiede un forte impegno di tutta l'equipe ortopedica, anestesiologico-rianimatoria, infermieristica e riabilitativa.
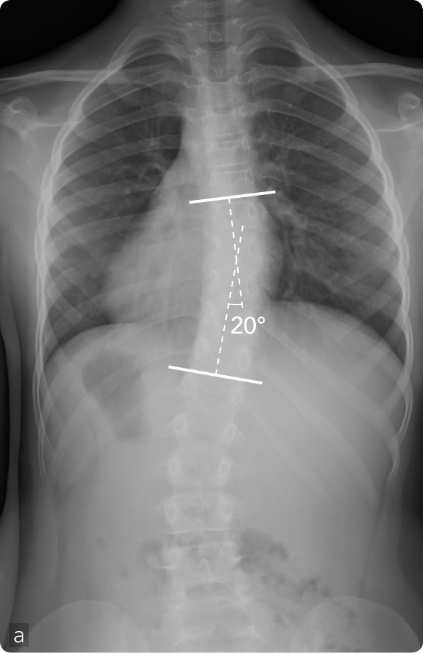
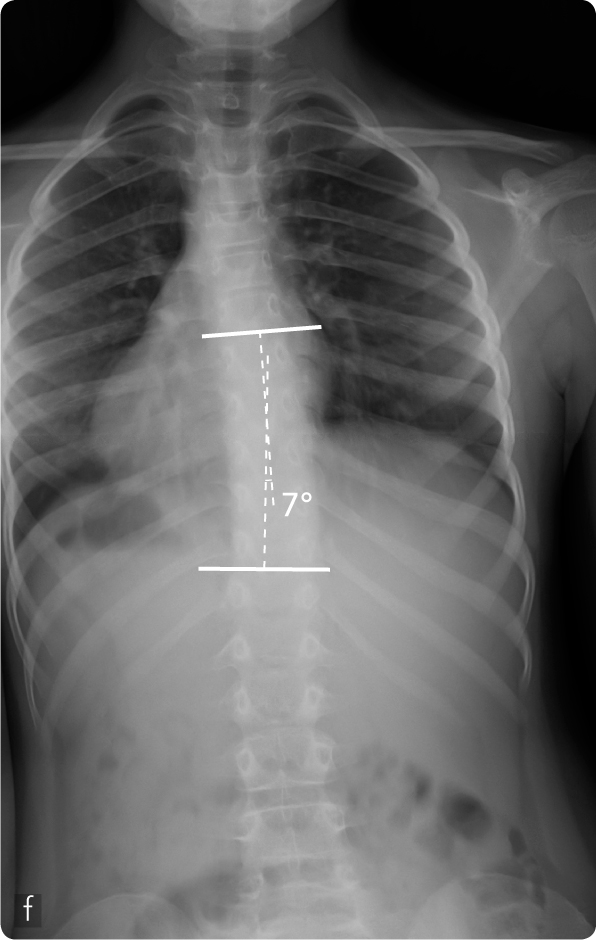
Caso 1: Scoliosi dorsale destra e lombare sinistra
Femmina, 8 anni, scoliosi dorsale destra (a). Asimmetria del profilo delle scapole e dei fianchi (b) ed evidente gibbo dorsale destro (c). Trattamento con busto gessato in deflessione (d). Obiettiva riduzione del gibbo ai controlli successivi in particolare alla flessione anteriore del tronco (e) confermata dal controllo radiografico (f).




Caso 2: Scoliosi idiopatica
Femmina, 15 anni, scoliosi idiopatica. All'esame ispettivo si apprezza asimmetria dei fianchi, lo sbilanciamento delle spalle rispetto al bacino, la presenza del gibbo dorsale destro alla flessione anteriore del tronco (a). La radiografia mostra scoliosi toracica destra con compenso non strutturato lombare. Operata di artrodesi breve posteriore strumentata (b) con buon risultato estetico e funzionale. Si apprezza al controllo evolutivo buon bilanciamento della colonna vertebrale. Riduzione della deformità toracica da 53° a 20° secondo Cobb e della lombare da 37° a 18° secondo Cobb.




Autore: prof. Cesare Faldini, direttore della Clinica Ortopedica e Traumatologica I, Istituto Ortopedico Rizzoli
Scheda revisionata il: 15 giugno 2015.