La sindrome faccettale è caratterizzata da lombalgia cronica, saltuariamente associata a irradiazione periferica, che si manifesta e/o esacerba alla estensione e alla flessione laterale del rachide.
La sua patogenesi risiede nell'alterazione di una o più articolazioni posteriori del rachide lombare (articolazioni zigoapofisarie). L'esame radiografico può dimostrare alterazioni degenerative delle articolazioni posteriori, spesso importanti e diffuse a più livelli.
L'esame di Tomografia Computerizzata (TC) può evidenziare anche alterazioni iniziali delle articolazioni posteriori, ma solo l'esame di Risonanza Magnetica (RM) dimostra la presenza di versamento articolare e/o di edema dei tessuti molli adiacenti che consentono di focalizzare l'attenzione sulla probabile sede algogena.
Poiché il successo del trattamento con radiofrequenza (RF) si basa sulla precisa individuazione della zona di insorgenza del dolore, è indispensabile la corrispondenza tra la sede clinica del dolore (individuabile con buona approssimazione con l'esame clinico e la digitopressione mirata) e i dati radiologici (esame radiografico, TC e RM). Purtroppo, non sempre c'è corrispondenza certa; per questo motivo la procedura prevede inizialmente la puntura provocativa della o delle articolazioni posteriori 'sospette' al fine di evocare lo stesso dolore riferito in anamnesi dal paziente.
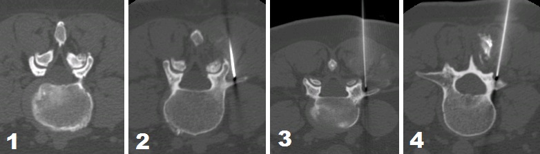
Quando sono state definite la o le articolazioni posteriori da trattare, si procede, mediante radiofrequenza pulsata, al blocco selettivo della branca mediale del ramo posteriore del nervo lombare del livello individuato, di quello superiore e di quello inferiore. Il posizionamento dell'agoelettrodo da 20 G si effettua con estrema precisione con guida TC (si vedano le fig. 1, 2, 3 e 4) e viene confermato dal test di stimolazione. L'utilizzo della RF pulsata consente di 'bloccare' solo le fibre sensitive del nervo, evitando di ledere quelle motorie poiché alla punta dell'agoelettrodo, posizionata a qualche millimetro dal nervo, si raggiunge una temperatura di circa 42°.
La procedura si effettua con iniziale anestesia infiltrativa locale nel punto di introduzione dell'agoelettrodo e, se necessario, modesta sedazione generale.
Il trattamento consente di ridurre o annullare il dolore derivante dalle articolazioni posteriori e ha una durata variabile, solitamente intorno ai sei mesi. Non esistono controindicazioni specifiche se non quelle comuni a tutte le procedure interventistiche. Usualmente il paziente viene dimesso il giorno dopo l'effettuazione del trattamento.
Immagini

Figura 1 - Lo studio TC del rachide lombo-sacrale dimostra fenomeni degenerativi dell'articolazione posteriore di L4-5 a Ds.
Figura 2 - La scansione TC dimostra il corretto posizionamento della punta dell'agoelettrodo (20G) (confermato anche dal test di stimolazione) in prossimità della branca mediale del ramo posteriore di L4.
Figura 3 - La scansione TC dimostra il corretto posizionamento della punta dell'agoelettrodo (20G) (confermato anche dal test di stimolazione) in prossimità della branca mediale del ramo posteriore di L3.
Figura 4 - La scansione TC dimostra il corretto posizionamento della punta dell'agoelettrodo (20G) (confermato anche dal test di stimolazione) in prossimità della branca mediale del ramo posteriore di L5.
Autore: Dr. Marco Miceli, direttore della Struttura Complessa Radiologia diagnostica e interventistica, Istituto Ortopedico Rizzoli.
Scheda revisionata il: 7 giugno 2021.