Main container

Vertebroplastica percutanea

La vertebroplastica percutanea è una procedura terapeutica mini-invasiva utilizzata per il trattamento delle fratture vertebrali dolorose da insufficienza (osteoporotiche) e di quelle patologiche (da tumori primitivi o secondari).
 

Indicazioni

Le principali indicazioni sono:

  • Frattura recente da osteoporosi, dolente, refrattaria al trattamento medico
  • Lesioni tumorali primitive o secondarie responsabili di dolore (metastasi, linfomi, plasmocitomi, mielomi, angiomi, ecc.).

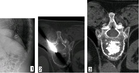
Immagini di casi

Immagini relative alla vertebroplastica

Figura 1 - Paziente di 73 anni, affetta da dorsalgia da oltre 2 mesi, non controllabile con la terapia medica e con il busto. L'esame radiografico fa apprezzare sul piano sagittale l'avvallamento della limitante somatica superiore della XII vertebra toracica. In corrispondenza della stessa si evocava una spiccata dolorabilità alla digitopressione e all'esame di risonanza magnetica si apprezzava la presenza di edema intraspongioso nella sequenza STIR.

Figura 2 - Le piccole dimensioni e l'orientamento pressoché sagittale dei peduncoli hanno fatto preferire l'accesso trans-costovertebrale che è possibile eseguire e monitorare sotto guida TC con estrema efficacia e sicurezza (come dimostra l'immagine).

Figura 3 - L'esame TC, assunto dopo l'iniezione del cemento eseguita sotto guida scopica, fa apprezzare la corretta diffusione del cemento all'interno del corpo vertebrale e l'assenza di fuga dello stesso nei tessuti contigui.

Autore: Dr. Marco Miceli, direttore della Struttura Complessa Radiologia diagnostica e interventistica, Istituto Ortopedico Rizzoli.

Scheda revisionata il: 7 giugno 2021.

Qui ci occupiamo di cura