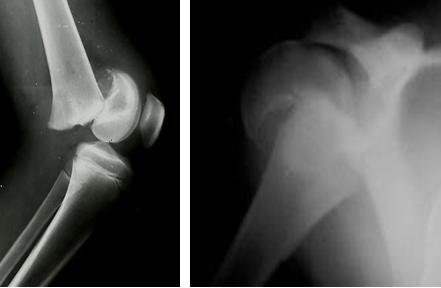
Si tratta di lesioni che si osservano nei bambini prima della saldatura della cartilagine di coniugazione e in cui la linea di separazione passa attraverso la cartilagine epifisaria per tutto il suo percorso o parte di esso. In questo secondo caso si associa una frattura dell’epifisi cartilaginea o di un nucleo epifisario oppure della metafisi.
Rappresentano circa il 20% di tutte le lesioni scheletriche del bambino e sono più frequenti (70%) nel sesso maschile per la maggiore attività fisica, specie nella seconda infanzia.
Più spesso si verificano per trauma indiretto.
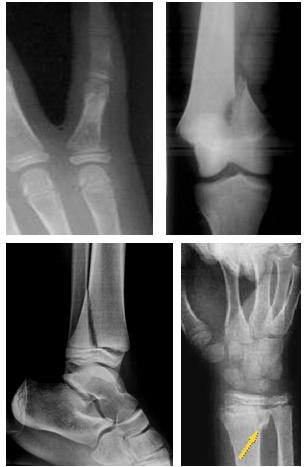
I distacchi epifisari vengono classificati in puri e misti a seconda che vi sia coinvolgimento anche della metafisi o del nucleo epifisario. La classificazione più utilizzata nella pratica clinica quotidiana è quella di Salter-Harris che suddivide i distacchi in 5 tipi.
- Tipo 1: puro completo – in genere la consolidazione è rapida e non vi sono disturbi di accrescimento
- Tipo 2: più frequente in assoluto – oltre alla fisi è interessata obliquamente la metafisi – in genere la prognosi è buona
- Tipo 3: raro - interessa longitudinalmente la cartilagine di accrescimento e obliquamente l’epifisi – prognosi discreta
- Tipo 4: Interessata longitudinalmente la cartilagine di accrescimento e la metafisi coinvolgendo il nucleo epifisario ed interrompendo il periostio- prognosi più incerta
- Tipo 5: schiacciamento dello strato basale della cartilagine di accrescimento con scarso spostamento (spesso diagnosi difficile ed errata) - Prognosi cattiva.
Talvolta una precisa classificazione radiografica (specie in caso di scarso spostamento o in distacchi complessi) è complessa e si rende necessario un approfondimento diagnostico con RM.


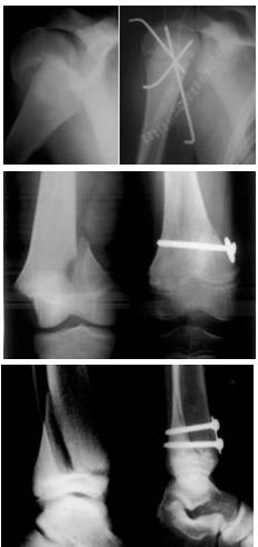
Il trattamento nei distacchi senza spostamento prevede solo la tutela in apparecchio gessato. Nei distacchi con spostamento è invece necessaria una precoce riduzione con manovre delicate cercando di ottenere l’ottimale ripristino dell’anatomia epifisio-metafisaria. In alcuni casi va applicata trazione transcheletrica che sarà inglobata nell’apparecchio gessato.
Nelle lesioni non riducibili si ricorre alla riduzione cruenta e alla sintesi di minima (i mezzi di sintesi, fili o viti, andranno rimossi precocemente).
In tutti i casi fondamentale risulta una buona riduzione ed adeguata immobilizzazione.
La prognosi di queste lesioni è legata a molteplici fattori, in particolare:
- tipo di distacco;
- età del paziente e potenziale di rimodellamento residuo;
- tipo di trattamento e qualità della riduzione.

In una certa percentuale di casi (specie in bambini più piccoli) si arriva a completa reintegrazione morfologica della zona della cartilagine epifisaria lesa.
In adolescenza, in cui la cartilagine epifisaria si presenta molto più ristretta, la guarigione della soluzione di continuo può avvenire più facilmente con la formazione di callo osseo e con la precoce saldatura più o meno estesa della epifisi alla metafisi (episiodesi post-traumatica).
Autori: Dr. Diego Antonioli e Dr. Leonardo Marchesini Reggiani, Struttura Complessa di Ortopedia e Traumatologia Pediatrica, Istituto Ortopedico Rizzoli.
Scheda informativa revisionata il: 16 marzo 2021.