Gli elementi che caratterizzano un diverso approccio terapeutico nel bambino rispetto all'adulto sono costituiti della presenza della cartilagine di accrescimento e dalla diversa capacità di rimodellamento scheletrico variabile con l'età. Gli esiti che possono detereminarsi dipendono in gran parte dalla diversa risposta dei 2 fattori già menzionati.
Principi generali da considerare nel trattamento delle fratture in età pediatrica sono:
- se possibile preferire il trattamento incruento a quello cruento;
- il trattamento incruento dovrà essere eseguito con manovre delicate;
- l'accrescimento scheletrico, in base all'età, compenserà gli errori di allineamento. Una deformità angolare che si aggravi con la crescita presuppone la contemporanea lesione di una cartilagine di accrescimento;
- qualsiasi lesione di una cartilagine di accrescimento si rende evidente non prima di un anno;
- le fratture di ossa lunghe spesso guariscono con lieve iperallungamento che si esaurisce dopo circa 18 mesi (fanno eccezioe le fratture ostetriche) da trattare sempre incruentemente con trazione per 15-20 giorni.
Tipi di frattura in età pediatrica:
- Fratture di clavicola
- Fratture di omero - Distacchi epifisari omero prossimale
- Fratture della diafasi omerale
- Fratture e distacchi del massiccio condiloideo dell'omero distale - Frattura sovracondiloidea
- Distacco dell'epitroclea
- Distacco del condilo omerale
- Fratture e distacchi epifisari del radio prossimale
- Lesione di Monteggia
- Fratture di avambraccio, fratture diafisarie
- Fratture del radio distale
- Distacchi epifisari del radio distale
- Fratture della diafisi femorale
- Fratture del femore distale
- Fratture di gamba
Fratture di clavicola
Il trattamento è sempre conservativo. Nel caso di frattura a “legno verde” è sufficiente applicare un bendaggio reggibraccio che blocchi i movimenti della spalla per 20-25 giorni. Nel casi di frattura scomposta è invece indicato un bendaggio a “otto” che mantenga i monconi di frattura in lieve trazione per 25-30 giorni. Torna su

Fratture di omero - Distacchi epifisari omero prossimale
Quando la scomposizione dei frammenti è parziale, il trattamento è conservativo e si può attuare mediante applicazione di bendaggio reggi-braccio, che blocchi completamente i movimenti della scapolo-omerale (stip-stop bloccato) per 25-30 giorni.
Quando la scomposizione dei frammenti è completa, il trattamento è chirurgico con approccio deltroideo-pettorale, riduzione cruenta dei frammenti e osteosintesi mediante fili di Kirshner (percutanei o ripiegati sotto la cute) che incavigliano l'epifisi omerale.
L'immobilizzazione anche in questo caso è attuata mediante bendaggio reggi-braccio per 25-30 giorni. In alcuni casi (in genere in pazienti <10 anni) è possibile eseguire in trattamento incruento realizzando una riduzione del distacco con applicazione di trazione trascheletrica e stabilizzando la riduzione ottenuta con gesso toraco-brachiale inglobante il filo di trazione da mantenere per 30-35 giorni. Torna su

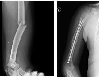
Fratture della diafasi omerale
Le fratture oblique o spiroidi, non complicate da lesione dl nervo radiale sono trattate conservativamente mediante applicazione di gomitiera gessata. Qualora concomiti lesione nervosa è indicata l'esplorazione chirurgica con contemporanea riduzione e osteosintesi della frattura.
Le fratture trasverse o modicamente oblique, complicate e non, sono trattate chirurgicamente mediante osteosintesi a cielo chiuso con 1 o 2 chiodi endomidollari di Nancy, introdotti a livello della paletta omerale in senso disto-prossimale.
Nei pazienti più piccoli visto il notevole potenziale plastico, l'applicazione di apparecchio gessato può trovare indicazione anche nelle fratture trasverse. Torna su
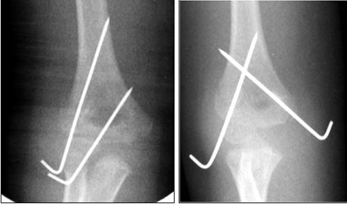
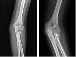
Fratture e distacchi del massiccio condiloideo dell'omero distale - Frattura sovracondiloidea
Nelle fratture composte o modicamente scomposte il trattamento è sempre conservativo con gomitiera gessata e adeguato monitoraggio radiografico.
Nel caso di frattura trasversa, a 2 frammenti, con scarso spostamento dei monconi e nei pazienti più piccoli è indicato tentativo di riduzione incruenta della frattura, previo congruo periodo di trazione su balcanica. Ottenuta la riduzione, la frattura deve essere immobilizzata in apparecchio gessato toraco-brachiale. Nelle fratture scomposte con marcata componente rotatoria è possibile procedere dopo riduzione incruenta alla stabilizzazione con fili di Kirscher percutanei con configurazione incrociata o parallela a seconda del tipo e della sede della frattura.

Nelle fratture con edema/tumefazione marcata del gomito (specie se vi è stata latenza temporale fra il momento del trauma e la presentazione in Pronto Soccorso), nel caso sia presente un deficit neurologico, in caso di insuccesso della manovra riduttiva (per interposizione di tessuto muscolare o periosteo o grave comminuzione della frattura) è indicata la riduzione cruenta con approccio laterale, postero-laterale o posteriore e sintesi mediante fili di Kirschner. In caso di potenziale lesione nervosa del nervo mediano o radiale o dei vasi omerali è necessario utilizzare un approccio antero-laterale con esplorazione chirurgica vascolo-nervosa.
Per l'immobilizzazione post-operatoria è sufficiente una gomitera gessata con bendaggio reggibraccio. Successivamente in base all'evoluzione radiografica (callo di frattura) e alla stabilità dell'eventuale osteo-sintesi si deciderà se iniziare la mobilizzazione del gomito o proseguire con tutela (valva rimovibile o nuovo apparecchio gessato).

Le complicanze più comuni in questo tipo di fratture sono la deformità in varo/valgo da viziosa consolidazione o lesione della cartilagine di accrescimento, l'intollerenza o mobilizzazione di eventuali mezzi di sintesi (possibile necessità di rimozione precoce). Più rare sono la rigidità articolare (in particolare in flessione) e la formazione di ossificazioni eterotopiche. In genere si assiste al completo recupero di eventuali deficit neurologici a distanza di 3-6 mesi. Torna su

Distacco dell'epitroclea
Si accompagna spesso a lussazione del gomito. Quando la diastasi del frammento è minima è indicato il trattamento conservativo con l'avvertenza di controllare radiograficamente la lesione dopo 5-10-15-35 giorni. In caso di progressiva perdita di riduzione è necessario orientarsi verso la soluzione chirurgica. Negli altri casi (marcata diastasi o interposizione articolare omero-ulnare del frammento di epitroclea) l'indicazione è la riduzione cruenta con approccio mediale o postero-mediale, isolando il nervo ulnare, e la sintesi con fili di Kirschner o vite da piccoli frammenti.
La tutela post-operatoria è realizzata con gomitiera gessata per 25 giorni.
Le complicazioni più comuni in queste fratture sono la possibile deviazione in valgo del gomito, la neuropatia del nervo-ulnare, la rigidità articolare in flesso-estensione (in particolare dopo riduzione cruenta). Torna su
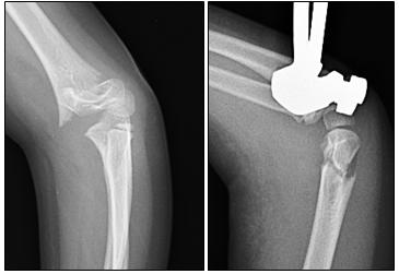
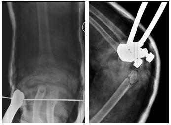
Distacco del condilo omerale
In questo caso, come nelle fratture sovra-intercondiloidee, la frattura interessa sia la rima articolare che la cartilagine coniugale. In caso di scomposizione è dunque indicata la riduzione cruenta. L'approccio è laterale o postero-laterale e sintesi con fili di 2/3 fili di Kirschner o vite in quanto il frammento distaccato è in genere piuttosto voluminoso.
E' quindi confezionata gomitiera gessata da mantenere per 25 giorni.
In questa tipologia di fratture/distacchi è fondamentale un monitoraggioclinico-radiografico del paziente nel tempo per valutare la comparsa di eventuali devizioni dell'asse o sofferenze vascolari del nucleo del condilo omerale. Torna su
Fratture e distacchi epifisari del radio prossimale
Il trattamento anche in questo caso varia in base alla scomposizione in traslazione-angolazione del frammento distaccato e al potenziale di rimodellamento scheletrico residuo.
Le fratture composte o minimamente scomposte guariscono con buona restitutio e recupero funzionale dopo trattamento conservativo in apparecchio gessato. Nelle fratture maggiormente scomposte (angolazione >45-60°, traslazione del frammento prossimale >50%) sono necessarie la riduzione e l'eventuale sintesi.
Molteplici sono i trattamenti possibili: riduzione con ausilio di fili di K. o chiodi di Steinmann percutanei, riduzione chiusa e sintesi con fili o chiodi endomidollari retrogradi e infine, in caso di insuccesso delle tecniche incruente, riduzione e sintesi a cielo aperto, cercando di preservare capsula e vascolarizzazione residue.
Fra le complicanze, oltre alla necrosi avascolare, sono possibili pseudoartrosi, viziosa consolidazione, deformità in valgo, ossificazioni intra-articolari e sinostosi radio-ulnari prossimali. L’accorciamento radiale, solitamente modesto, il possibile allargamento della testa radiale e angolazioni della testa <20°, non condizionano in genere il risultato funzionale. Torna su
Lesione di Monteggia
In questo caso si verifica una frattura della diafisi ulnare associata alla lussazione della testa radiale; in questa lesione l'elemento fondamentale per il successo del trattamento è una diagnosi tempestiva e la verifica meticolosa dei rapporti omero-radiali.
Spesso, infatti, soprattutto nei pazienti più piccoli un mal-allineamento della testa radiale o una possibile deformità plastica dell’ulna possono rimanere radiograficamente misconosciuti.
In genere se la manovra riduttiva ripristina la corretta lunghezza-asse ulnare si assite ud una contemporanea riduzione della testa radiale. In tal caso la scelta è di proseguire con il trattamento incruento con apparecchio gessato.
Se tuttavia per le caratteristiche della frattura (rima obliqua, comminuzione) si verifica accorciamento ulnare oppure quando vi è interposizione di parti molli si rende necessaria la riduzione cruenta e sintesi della frattura e l'eventuale riduzione cruenta della testa radiale con accurata asportazione di tessuto capsulare interposto e ricostruzione/plastica del legamento anulare. Torna su

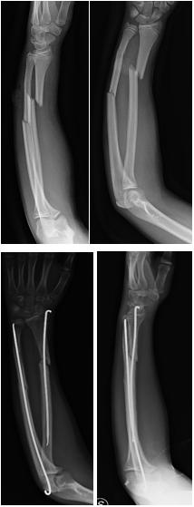
Fratture di avambraccio, fratture diafisarie
Rappresentano il 15% circa delle fratture di avambraccio.
Nelle fratture incomplete (a “legno verde” e deformazioni plastica) il trattamento è incruento mediante applicazione di apparecchio gessato. Quando è presente un'angolazione >10° e nei pazienti di età superiore ai 10 anni è necessario correggere (ideale una lieve ipercorrezione) l'angolazione con delicata manovra riduttiva.
Le fratture scomposte sono suddivise in base alla rima di frattura in oblique, trasverse e comminute. Il trattamento conservativo in queste fratture può essere molto impegnativo per la presenza di masse muscolari che esercitano forze angolari e di rotazione sui frammenti di frattura e per interposizione di tessuto periostale.
Nei pazienti di età inefriore ai 10 anni le capacità di rimodellamento diafisarie permettono di tollerare un accorciamento di 1 cm, fino a 15° di angolazione e anche una completa perdita di contatto corticale. La tolleranza decresce per le fratture del terzo prossimale.
Il trattamento elettivo è incruento mediante riduzione in narcosi finalizzate a ottenere un ripristino dell'asse e un affrontamento dei monconi del 50-70%. Il gesso viene rinnovato periodicamente per una immobilizzazione complessiva di 8-12 settimane.
Il trattamento chirurgico viene riservato alle fratture esposte di 2°-3° grado, ai casi in cui la riduzione è inadeguata in relazione al potenziale di rimodellamento residuo, quando si verifica una perdita progressiva di riduzione in gesso (pattern di frattura più instabili), alle rifratture.
Nell'età pediatrica la sintesi viene realizzata tramite inchiodamento endomidollare con fili di Kirschner. In casi estremamente selezionati sono utilizzate placche e viti.
Le complicanze più comuni nelle fratture scomposte sono:
- viziosa consolidazione;
- rigidità articolare in prono-supinazione;
- rifratture;
- lesioni vascolo-nervose
Le complicanze più comuni nell'intervento di sintesi endomidollare sono:
- intolleranza per procidenza dei fili di Kirschner (possibile infezione superficiale);
- rare la mancata consolidazione e le sinostosi radio-ulnari. Torna su
Fratture del radio distale
Sono suddivise in:
- fratture per compressione (a “pane di burro”): trattamento incruento con apparecchio gessato antibrachio-metacarpale per 3 settimane;
- fratture a “legno verde”: trattate incruentemente con gesso brachio-metacarpale per 3-4 settimane e successiva valva-splint palmare per 2 settimane;
- fratture scomposte: il trattamento di prima scelta è quello incruento con riduzione (con o senza narcosi) e apparecchio gessato brachio-metacarpale per 4 settimane, sucessivamente sostituito da gesso antibrachio-metacarpale per ulteriori 2-3 settimane. Soprattutto nelle fratture più scomposte la frattura va controllata radiograficamente ogni settimana nelle prime 3 settimane per possibili perdite di riduzione in gesso. Nei pazienti >10 anni in genere sono accettabili angolazioni non superiori ai 10° (20° fra 5 e 10). I parametri angolari vanno tuttavia rapportati alla maturità scheletrica e non solo all'età anagrafica.
- In caso di insuccesso del trattamento conservativo il trattamento chirurgico prevede la riduzione cruenta/incruenta e la sintesi con fili di Kirscher generamente percutanei e successivamente inglobati in apparecchio gessato. Torna su
Distacchi epifisari del radio distale
I distacchi epifisari più frequenti secondo la classificazione di Salter sono di tipo II con spostamento dorsale del frammento distale. Il trattamento è incruento con riduzione delicata e gesso brachio-metacarpale per 3 settimane. Analogmanete alle fratture del radio distale, in caso di interposizione di lembo periostale, in genere è necessaria la riduzione cruenta e sintesi con fili di Kirschner. Le complicazioni più comuni in questo tipo di lesioni sono la viziosa consolidazione e l'alterazione di crescita da lesione della fisi (accorciamento o angolazione progressiva). Torna su
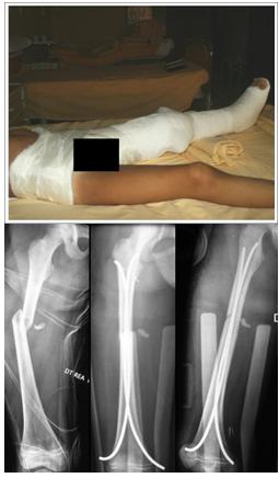
Fratture della diafisi femorale
L'evoluzione e il trattamento di queste fratture sono condizionati dalle peculiarità anatomiche e fisiologiche dell'osso infantile. La presenza delle placche coniugali e la conseguente necessità di non danneggiarle può limitare le possibilità terapeutiche.
Lo spiccato potere osteogenico favorisce la costante e rapida consolidazione: le pseudoartrosi sono rare e quasi sempre iatrogene. Anche le rigidità articolari sono infrequenti. Turbe dell'accrescimento sono possibili sia in difetto (per concomitante lesione della cartilagine di accrescimento ad esempio in distacco epifisario tipo Salter V) che in eccesso (iperllaungamento post-traumatico). Particolamente frequente è l'allungamento, probabimente dovuto al fatto che nelle fratture diafisarie l'iperemia locale conseguente ai processi riparativi si ripercuote sulle placche coniugali vicine che vengono stimolate per incremento dei processi metabolici.
L'entità dell'allungamento varia a seconda della sede, età, tipo di frattura, delle manovre più o meno complesse messe in atto per ottenere la riduzione (gypsotomie, riduzioni ripetute) ed delle tecniche chirurgiche (maggiore accentuazione della ipemetria in caso di esteso scollamento periostale e nell'utilizzo di placche).
L'autocorreggibilità dei mal-allinementi post-fratturativi nell'età pediatrica è un fenomeno ben conosciuto in traumatologia infantile. In linea di massima nei pazienti più piccoli sono tollerabili fino a 20-25° di angolazione sui due piani ortogonali, dislocazione ad latus con contatto dei monconi per almeno 1/3 e sovrapposizioni di 1,5 cm. I difetti di rotazione devono invece essere eliminati perchè non si correggono spontaneamente.
Minore è l'età del paziente e più la frattura è prossima a cartilagini fertili, maggiore sarà l'autocorreggibilità.
Il trattamento incruento rimane a nostro parere la prima scelta nella maggioranza dei casi. Nelle fratture scomposte in genere viene applicata trazione (a cerotto o transcheletrica) con successivo confezionamento di apparecchio gessato pelvi-podalico. Il trattamento cruento va invece riservato alle fratture esposte di 2°-3° grado, fratture irriducibili, instabili, pazienti oltre i 10 anni o in particolari condizioni (spina bifida, miopatie, politraumi), e infine nelle rifratture.
La sintesi viene realizzata con chiodi endomidollari in titanio secondo la tecnica di Nancy. In casi selezionati viene utilizzata la fissazione esterna (fissatore monoassiale o circolare). Torna su
Fratture del femore distale
Sono distacchi epifisari meno frequenti rispetto ad altre sedi ma hanno maggiori conseguenze sull’accrescimento osseo per il potenziale di crescita della cartilagine di accrescimento del femore distale.
Possono quindi essere responsabili di notevoli dismetrie in difetto oltre che di deviazioni assiali.
Trattamento:
- Tipo Salter 1: immobilizzazione gessata;
- Tipo Salter 2: è il più frequente ed in grado di determinare deviazioni assiali in varo-valgo, procurvato-recurvato da sviluppo asimmetrico della cartilagine;
- Tipo Salter 3-4: presentano maggiori problematiche per le difficoltà di una riduzione anatomica (fratture monocondiloidee, bi-condiloidee, frattura triplanare);
- Tipo Salter 5: tipiche dei traumatismi da cruscotto, risultano spesso misconosciute e diagnosticate tardivamente per precoce chiusura della cartilagine di accrescimento.
Molto spesso nei distacchi tipi 1 e 2 al trattamento con gesso si associa una sintesi con fili percutanei. Nei distacchi tipo 3-4 la riduzione deve essere anatomica (oltre 2 mm di scomposizione riduzione cruenta e sintesi a cielo aperto). Torna su
Fratture di gamba
Anche per la tibia la capacità di autocorrezione della deformità assiale è molto spiccata. In particolare è marcata nelle deformità sullo stesso asse di movimento dell’articolazione, assai minore o nulla nelle deformità rotatorie.
Assai frequenti nell’età evolutiva sono le alterazioni dell’accrescimento quasi sempre rappresentate da un iperallungamento compreso fra 0,5 e 1,5 cm.
Le fratture di questo segmento vengono distinte in:
- fratture metadiafisarie;
- distacchi epifisari misti.
Quanto più il bambino è piccolo tanto più frequentemente si verifica una frattura incompleta (a “pane di burro”, a “legno verde” o deformazione plastica) o completa trasversa, obliqua/spirale ma non comminuta. Anche quando la frattura è completa il periostio robusto non perde la sua continuità contribuendo ad impedire un eccessivo spostamento dei monconi.
Il trattamento elettivo nelle fratture di tibia o biossee di gamba al di sotto degli 8-9 anni (raggruppando insieme metafisi prossimale, distale e diafisi) è conservativo. Nelle fratture con dislocazione dei capi ossei è necessaria l’applicazione di trazione tran-scheletrica calcaneare o tibiale distale a seconda del livello della lesione. Dopo periodo di trazione di 2-5 giorni la dislocazione viene ridotta con delicate manovre eseguite in narcosi e l’arto viene tutelato in apparecchio gessato inglobante il filo transcheletrico.
Per evitare scomposizioni secondarie il ginocchio andrebbe immobilizzazione oltre i 60° di flessione.
E’ tollerata una deviazione in varo-valgo di 5-10° e in procurvato-recurvato di 10°-15°.
E’ auspicabile un accavallamento dei capi di frattura di 0,5-1 cm. in modo da “assorbire” la quasi sicura ipercrescita post-traumatica.
Dopo 35 giorni la ginocchiera viene sostituita da apparecchio gessato deambulatorio/tutore.
Nei pazienti più grandi (>9-10 anni), in cui aumenta l’incidenza di traumi ad alta energia e fratture comminute, è necessaria una riduzione più precisa e maggiormente anatomica. Se questa non è possibile o se si rilevano perdite di riduzione nei controlli radiografici in gesso l’intervento di osteosintesi diventa indispensabile. In genere la tecnica utilizzata è la endomidollare a cielo chiuso con chiodi in titanio secondo la tecnica di Nancy.
Anche in questo caso preferiamo tutelare l’arto operato in gesso per 4 settimane sia a scopo antalgico sia per evitare eventuali perdite di riduzione parziali.
Indicazioni elettive al trattamento chirurgico delle fratture di gamba sono:
- fratture associate a lesioni vascolo-nervose;
- fratture esposte di 2°-3° grado con gravi lesioni delle parti molli;
- pazienti politraumatizzati;
In tutti questi casi si ricorre all’uso di fissatori esterni utilizzando possibilmente apparecchiature dinamizzabili. In tutti i casi l’uso di placche avvitate è da evitarsi così come risulta inopportuna la scelta di chiodi endomidollari rigidi fino alla chiusura delle cartilagini coniugali.
In genere non è necessaria una riduzione delle fratture peroneali non essendo presente a questa età su tali segmenti la pseudoartrosi e considerando l’ottimo rimodellamento che ne caratterizza la riparazione.
Anche nel trattamento dei distacchi epifisari tibiali distali il trattamento elettivo è conservativo. E’ necessaria tuttavia un riduzione anatomica in modo da ripristinare la continuità della placca cartilaginea ed evitare la formazione di ponti ossei di epifisiodesi che comporterebbero successiva dismetria o deformità.
In caso di riduzione imperfetta o perdita di riduzione in gesso si ricorre al trattamento chirurgico.
In tutti i casi (sia nel trattamento conservativo che chirurgico) è necessaria la contenzione in apparecchio gessato per 30 giorni. Successivamente in base alla evoluzione dei processi riparativi può essere avviata la mobilizzazione articolare evitando il carico per almeno 3 mesi. Torna su


Autori: Dr. Diego Antonioli e Dr. Leonardo Marchesini Reggiani, Struttura Complessa di Ortopedia e Traumatologia Pediatrica, Istituto Ortopedico Rizzoli.
Scheda informativa revisionata il: 16 marzo 2021.