Le deviazioni assiali di ginocchio si possono grossolanamente distinguere in due grandi categorie: valgismo (ginocchia a “X”) e varismo (ginocchia a “parentesi”) a seconda della direzione della deviazione.
Un certo grado di varismo o di valgismo del ginocchio è considerato fisiologico durante l’età evolutiva. Un ginocchio varo è considerato entro certi limiti normale dai 12 ai 30 mesi circa mentre, in seguito, il ginocchio risulterà modicamente valgo sino ai 6-7 anni di età per poi solitamente correggersi autonomamente (Fig.1)

In caso contrario, ovvero quando la deviazione assiale si presenta diversamente da questi periodi o risulti di entità elevata, sarà fondamentale una visita specialistica presso un Ortopedico esperto nella patologia Pediatrica che valuterà il grado di de-formità e stabilirà il giusto trattamento (conservativo o chirurgico).
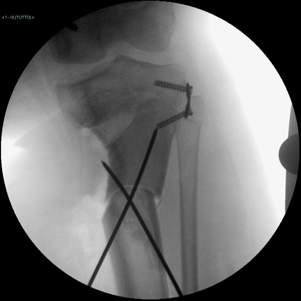
Qualora le deviazioni, idiopatiche o post-traumatiche, siano presenti in soggetti in crescita (in cui cioè è ancora presente attività della cartilagine di accrescimento o fisi) è possibile trattarle mediante un intervento chirurgico noto come epifisiodesi asim-metrica temporanea (Fig.2-3). Tale intervento sfrutta il potenziale di crescita residuo per “guidare” lo sviluppo favorendo la correzione del valgismo o del varismo. Ciò avviene mediante l’utilizzo di placchette lunghe pochi centimetri posizionate a cava-liere della/e fisi in grado di modulare l’accrescimento in tale sede. L’intervento pre-vede solo una piccola cicatrice, è descritta ampiamente una buona tollerabilità al do-lore grazie anche all’utilizzo di un’anestesia generale combinata con una loco-regionale del sito chirurgico.
La dimissione è nei due giorni successivi all’intervento, nei quali il/la paziente è aiu-tato/a a riprendere la sua piena autonomia grazie alla riabilitazione operata dai fisiote-rapisti, mentre il pieno ritorno allo sport avviene nel giro di 35-60 giorni dall’intervento.
La rimozione della/e placca/e verrà stabilita dall’Ortopedico attraverso le visite di controllo nel post-operatorio, in quanto dovrà essere attuata in base alla fase di cresci-ta e al grado di correzione.
La crescita guidata risulta essere indicata anche nel trattamento di deviazioni assiali secondarie a patologie congenite (es esostosi multiple ereditarie) o metaboliche.
In questi casi, in genere, a causa dell’entità del difetto e del relativo impatto clinico la procedura viene eseguita più precocemente ed i tempi di correzione, legati al ritmo di crescita del paziente, risultano leggermente più lunghi (Fig. 4 a-b).

Molto importante è distinguere particolari tipi di deviazioni assiali che rappresentano una manifestazione di quadri clinici più complessi.
È questo il caso della malattia di Blount, patologia ad eziologia multifattoriale, che comporta varismo delle ginocchia. In questa condizione, spesso l’intervento di epifi-siodesi non è sufficiente per l’entità e la tridimensionalità del difetto assiale ed è al contrario necessario un intervento di osteotomia per correggere la deformità.
Attualmente, l’utilizzo della pianificazione computerizzata eseguita su uno studio TC della deformità, ha permesso attraverso tecniche di stampa 3D di ottimizzare la com-prensione della deformità ed ottimizzare il trattamento, migliorandone precisione e tempi chirurgici grazie anche all’utilizzo di guide di taglio anch’esse realizzate sulla pianificazione iniziale (Fig. 5 a-b-c-d)


Autori: Dott. G.L. Di Gennaro, G. Trisolino, G. Gallone, Struttura Complessa di Ortopedia e Traumatologia Pediatrica, Istituto Ortopedico Rizzoli.
Scheda informativa revisionata il: 23 luglio2021.