Main container

Displasia fibrosa costale

Definizione

La displasia fibrosa costale è una condizione ossea benigna caratterizzata dalla sostituzione del tessuto osseo normale con tessuto fibroso, causando un indebolimento e una fragilità delle ossa costali, per questo maggiormente suscettibili a fratture. Questo disturbo può colpire una o più coste e talvolta si estende ad altre ossa, come il cranio o le ossa lunghe.

Epidemiologia

Questa patologia è considerata rara, con una prevalenza stimata tra lo 0,5% e l'1% delle malattie ossee. Colpisce più comunemente bambini e giovani adulti, con un'età media di insorgenza intorno ai 10-30 anni. Tuttavia, può manifestarsi a qualsiasi età.

Sintomatologia

I sintomi possono variare notevolmente. Alcuni individui possono essere del tutto asintomatici, mentre altri possono sperimentare dolore localizzato all’emicostato, deformità o protuberanze in prossimità delle coste, e in casi più gravi, difficoltà respiratorie a causa della compressione degli organi circostanti.

Diagnosi

La diagnosi si basa su un accurato esame obiettivo associato a diverse metodiche, tra cui esami radiografici che mostrano lesioni ossee caratteristiche come aree di deformità.

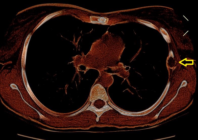
La TAC Torace è fondamentale in questo contesto (Figura 1), anche mediante ricostruzioni 3D (Figura 2)che possono evidenziare la struttura fibrosa dell’osso; la Risonanza Magnetica può aiutare nei casi di diagnosi differenziale. 

Le biopsie ossee sono fortemente consigliate, soprattutto nei casi in cui l’imaging non è chiaro e si pone il sospetto di un condrosarcoma o di una neoplasia più aggressiva dell’osso. Le biopsie vengono realizzate in anestesia locale presso la Radiologia Diagnostica e Interventistica e possono o meno confermare la presenza di tessuto fibroso anomalo nell'osso coinvolto.

TAC Torace che mostra una displasia fibrosa a carico della VI costa di sinistra
TAC Torace che mostra una displasia fibrosa a carico della VI costa di sinistra (freccia)
Ricostruzioni 3D della TAC Torace
Ricostruzioni 3D della TAC Torace che mostrano la sostituzione del tessuto osseo sano con tessuto fibroso (freccia)

Trattamento

Il trattamento dipende dalla gravità e dalla localizzazione della displasia. Nei casi lievi, può essere indicato un monitoraggio regolare (ad esempio con controlli TAC e/o RMN ogni sei mesi) ed il trattamento del dolore con analgesici. 
Tuttavia, nei casi più gravi che causano sintomatologia significativa o deformità (Figura 3), potrebbe essere necessario un intervento chirurgico per rimuovere il segmento osseo o i segmenti ossei interessati (Figura 4) e stabilizzare le strutture ossee residue, riducendo il dolore e migliorando la funzionalità.

TAC Torace che mostra una displasia fibrosa gigante
TAC Torace che mostra una displasia fibrosa gigante a partenza dalla II costa di destra in sede parasternale (freccia)
Foto di Sala Operatoria
Foto di Sala Operatoria in cui si riconoscono la terza e la seconda costa resecate e la displasia fibrosa poco prima della sua asportazione

Monitoraggio e controlli

Dopo il trattamento, è fondamentale un follow-up regolare per valutare la progressione della malattia o nel caso di un intervento chirurgico, gli esiti. Questo coinvolge esami radiografici periodici e, se necessario, valutazioni della funzione respiratoria per monitorare eventuali complicazioni a lungo termine.

 

Autore: Dr. Fabio Davoli, Responsabile Struttura Semplice Dipartimentale Chirurgia Generale e Toracica, Istituto Ortopedico Rizzoli.

Scheda revisionata il: 12 dicembre 2023

Qui ci occupiamo di cura