Le formazioni cistiche aneurismatiche sono lesioni pseudo-tumorali ad eziologia sconosciuta, non sono frequenti rappresentando solo 1% di tutti i tumori ossei. Insorgono prevalentemente nella prima e seconda decade di vita, rare dopo i venti anni rarissime dopo i cinquanta. Nel 25% circa dei casi possono associarsi ad altre patologie ossee.
Prevalentemente la crescita è lenta, talvolta nelle forme aggressive, le cistiche aneurismatiche assumono un rapido sviluppo, raggiungendo rilevanti dimensioni tanto da essere definite simil sarcomatose. Tutte le ossa possono essere colpite, tuttavia sono interessate con maggior frequenza le metafisi delle ossa lunghe e le vertebre.
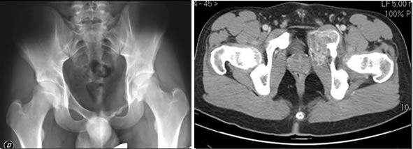
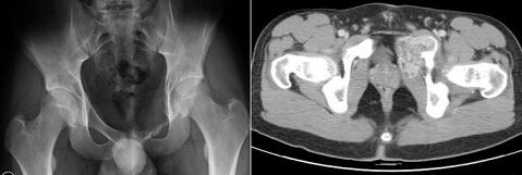
La sintomatologia è di solito rappresentata da tumefazione e dolore, peraltro di grado lieve, la struttura ossea interessata assume un aspetto osteolitico marcato, talora rilevante, le fratture patologiche sono rare.
Le suddette lesioni presentano una ipervascolarizzazione patologica rifornita da uno o più vasi e sono caratterizzate dalla presenza di cavità incluse ripiene di detriti cellulari e sangue, separate da setti connettivali, sono tipici i livelli liquidi ben visibili alla TC ed alla RM.
L’embolizzazione arteriosa selettiva delle formazioni cistiche aneurismatiche, eseguita con l’utilizzo di GLUBRAN 2 (colla chirurgica) come mezzo embolizzante, blocca l’eccessivo apporto di sangue alla lesione, favorendone la guarigione. Ne consegue una ristrutturazione ossea che può essere parziale, sub-totale o totale del segmento interessato.
Adolescente di 16 anni.






Autore: Dr. Marco Miceli, direttore della Struttura Complessa Radiologia diagnostica e interventistica, Istituto Ortopedico Rizzoli.
Scheda revisionata il: 8 giugno 2021.