L’intervento di protesi d’anca varia moltissimo a seconda del tipo di patologia che ha determinato l’artrosi, dall’età del paziente e dalla presenza di patologie generali associate.

Grazie alla collaborazione di anestesisti, ortopedici e fisiatri è stato possibile organizzare percorsi clinici differenziati per ogni tipo di patologia.
Grazie all’ambulatorio di prericovero i pazienti sono stati studiati per identificare le eventuali patologie di base (cardiovascolari, metaboliche, etc) e stabilire in anticipo il tipo di anestesia e l’eventuale necessità di supporto intensivo postoperatorio. Grazie a questo percorso è stata data l’operabilità anche a pazienti con patologie generali impegnative (insufficienza cardiorespiratoria, enfisema, insufficienza renale ed epatica, etc) discutendone volta per volta il rapporto rischio/beneficio, raccogliendo il consenso informato e lasciando al paziente la decisione ultima in merito all’intervento.
La valutazione ortopedica ha permesso di tipizzare l’anca da operare; percorsi chirurgici specifici di ricostruzione sono stati preparati per trattare pazienti affetti da: artrosi primitiva, necrosi avascolare della testa del femore, artrite reumatoide o esiti di epifisiolisi.
Particolare cura è stata posta al percorso chirurgico degli esiti della displasia congenita dell’anca, nella quale sono stati utilizzati impianti a stelo conico per compensare le deformità del femore e cotili press-fit impiantati nel paleo-cotile per ripristinare il corretto centro di rotazione dell'anca e la corretta lunghezza dell'arto inferiore.
Nelle artrosi post-traumatiche uno studio preoperatorio con TC ha reso possibile l'impianto di protesi standard non cementate rimuovendo solo i mezzi di sintesi che potevano impedirne l’utilizzo, cosí da ridurre l’esposizione e i tempi chirurgici e ridurre l’invasività ed il sanguinamento di queste complesse procedure chirurgiche. A seconda dell’età e della corporatura del paziente è stato scelto l’approccio chirurgico meno invasivo, per diminuire l’incidenza di complicanze e la necessità di trasfusioni. Su un totale di 235 anche, 106 (45%) sono state operate tramite accesso mini-invasivo anteriore, l'incisione può essere longitudinale o trasversa a "bikini", sulla piega della coscia in modo da rimane nascosta dagli slip. Sui piani profondi, sfruttando l’interstizio esistente tra il muscolo tensore della fascia lata ed il sartorio, questo accesso permette di giungere all’articolazione dell'anca ed impiantare la protesi senza disinserire alcun muscolo. L'intervento per via anteriore può essere eseguito in maniera convenzionale, oppure con un letto operatorio dedicato con cui è possibile manovrare l'arto operato dall'esterno. Il video dell'accesso anteriore mini-invasivo è stato inserito nel percorso formativo di aggiornamento dei chirurghi ortopedici americani dell’American Academy of Orthopaedic Surgeons del 2014 (Orthoportal Multimedial Library).

L'accesso mini-invasivo postero-laterale, è stato utilizzato in 115 pazienti su 235 (49%). Questo accesso permette di raggiungere l’articolazione sacrificando solo alcuni muscoli extrarotatori dell’anca, dalla scarsa valenza funzionale. Questa via di accesso è ideale perché consente un'ampia esposizione specie nei complessi casi di grave deformità come esito di patologie congenite dell’anca, ma allo stesso tempo favorisce una rapida riabilitazione, in quanto la muscolatura glutea non viene disinserita. Il video dell'accesso postero laterale mini-invasivo è stato premiato all'American Academy of Orthopaedic Surgeons del 2014 come miglior contributo scientifico dell’anno. Inoltre è stato inserito nel percorso formativo di aggiornamento dei chirurghi ortopedici americani dell’AAOS (Orthoportal Multimedial Library).
Infine per i pazienti con età superiore agli 80 anni (14 su 235; 6%) è stata utilizzata la via d'accesso laterale diretta che permette una rapida esposizione dell’articolazione con un ridotto tasso di complicanze. Tuttavia essa rende necessario la disinserzione parziale dei muscoli glutei, principali artefici di una corretta deambulazione, che devono essere accuratamente reinseriti a fine intervento. L'accesso laterale diretto è stato presentato all'American Academy of Orthopaedic Surgeons del 2014 nella sessione multimedia ed è è stato inserito nell'Orthoportal Multimedial Library.
Questi tre approcci innovativi, eseguiti con tecniche mini-invasive, "tissue sparing" e scelti in base alle caratteristiche del paziente, hanno consentito il contenimento del sanguinamento perioperatorio con un tasso di trasfusione inferiore al 34%.

L’approccio riabilitativo intensivo ha permesso la verticalizzazione e la deambulazione dalla prima giornata post-operatoria con un ricovero medio inferiore a 6 giorni.
Gli impianti sono stati inoltre scelti in base alle caratteristiche del paziente avendo come scopo quello di ricostruire al meglio la geometria articolare dell’anca.
Le protesi utilizzate sono in titanio poroso che grazie alle sue eccellenti caratteristiche di biocompatibilità consente un’ottimale osteointegrazione dell’impianto. Per accelerare questo fondamentale processo le componenti impiegate sono inoltre rivestite di una ceramica bioattiva, l’idrossiapatite, che ha elevate capacità osteoinduttive e osteoconduttive. Il disegno protesico è stato scelto in base alla qualità dell’osso del paziente e alla via d’accesso utilizzata.
Per garantire una maggior durata nel tempo degli impianti in tutti i pazienti viene utilizzato un accoppiamento articolare in ceramica Delta con ottime caratteristiche tribologiche che ne garantiscono una elevatissima resistenza all’usura.


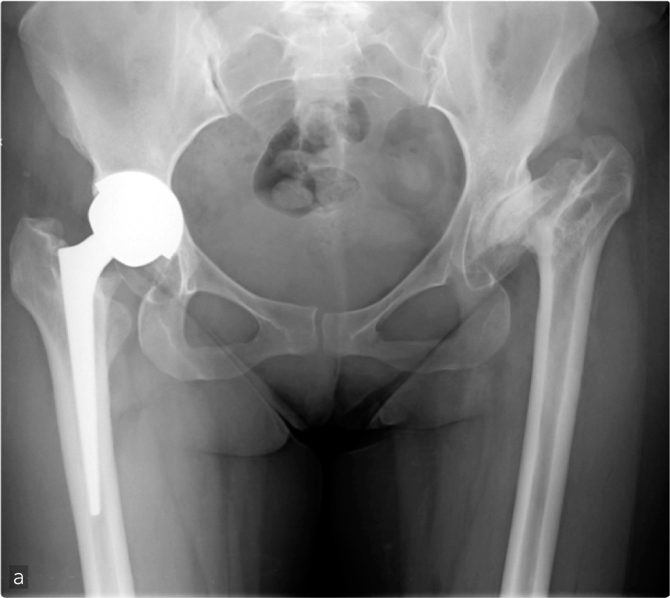
Caso 1: Necrosi asettica della testa del femore
Femmina, 26 anni, necrosi della testa del femore. La grave coxartrosi le causava dolore resistente ad ogni terapia conservativa, zoppia di fuga e un severo accorciamento dell'arto inferiore sinistro (a-b). L'intervento di sostituzione protesica dell'anca è stato eseguito per via anteriore mini-invasiva (c). L'accesso chirurgico è stato eseguito con incisione cutanea orientata sulla piega della coscia ("Bikini") che rimane completamente nascosta dagli slip, sui piani profondi l'acceso intermuscolare ha permesso di raggiungere l'articolazione senza staccare nessun muscolo limitando il sanguinamento (nessuna trasfusione) e rendendo più rapido il recupero (deambulazione in seconda giornata post operatoria) (d).

Caso 2: Protesi d'anca in esiti di displasia congenita
Femmina, 29 anni, affetta da grave coxartrosi secondaria a displasia congenita dell’anca con notevole accorciamento dell’arto (a). L’anca controlaterale affetta da una forma meno grave di displasia era già stata trattata con un impianto protesico. La componente acetabolare emisferica è stata impiantata nel paleocotile per ottenere la migliore biomeccanica articolare e ripristinare la corretta lunghezza degli arti inferiori. La patologica assenza della parete anteriore dell’acetabolo ha indotto ad utilizzare una componente emisferica a press-fit in tantalio che è stata stabilizzata ulteriormente con 2 viti posizionate in direzione della articolazione sacro-iliaca. Date le ridotte dimensioni del canale femorale e la patologica antiversione della regione meta-epifisaria del femore è stato deciso di impiegare una protesi conica che permettesse di correggere la deformità femorale senza necessità di osteotomie derotative. Nonostante sia stata impiegata la protesi con le dimensioni più piccole durante l'impianto dello stelo l'apertura di una crepa a livello del calcar ha richiesto l'applicazione di due cerchiaggi.
Ottimo il recupero funzionale ed il controllo radiografico a distanza di 6 mesi.


Autore: prof. Cesare Faldini, direttore della Clinica Ortopedica e Traumatologica I, Istituto Ortopodico Rizzoli
Scheda revisionata il: 15 giugno 2015.