Le alterazioni regressive a carico delle articolazioni vertebrali possono essere considerate la normale evoluzione della colonna vertebrale che invecchia (a,b). Queste vanno pertanto attentamente correlate con i sintomi clinici allo scopo di proporre a ciascun paziente la migliore strategia di trattamento.

Sia il canale vertebrale che ospita il midollo spinale e la cauda equina, sia i forami di coniugazione dai quali passano le radici spinali, durante l’invecchiamento vanno incontro ad una riduzione di volume a causa della riduzione di altezza del disco intervertebrale, della presenza di frammenti di nucleo polposo erniato, di osteofiti delle apofisi articolari (c). Queste alterazioni avvengono di norma molto lentamente, pertanto, le strutture nervose in genere si adattano e trovano un loro spazio. La colonna artrosica dell’anziano può essere anche del tutto asintomatica.

La centralità del malato durante la valutazione clinica, lo studio attento dei sintomi, la loro intensità e durata, la eventuale presenza di fenomeni irritativi, compressivi o deficitari a carico delle radici spinali, hanno permesso di proporre al paziente una adeguata strategia di trattamento.
I sintomi ad insorgenza acuta sono in genere dovuti a processi infiammatori che riducono ulteriormente (ma in modo rapido) il volume del canale vertebrale (d, e); questi anche se di intensità notevole in un rachide gravemente artrosico devono essere affrontati in ambito medico con un approccio multidisciplinare mediante prescrizione di farmaci e fisioterapia e all’invio presso l’ambulatorio di terapia del dolore gestito da anestesisti algologi.

Il trattamento chirurgico è stato riservato ai pochi pazienti con gravi alterazioni regressive a livello della colonna vertebrale che fossero responsabili di restringimento (stenosi) del canale vertebrale o dei canali di coniungazione tale da dare un quadro di dolore resistente alle terapie per oltre 12 settimane consecutive, associato a perdita della forza di vario grado degli arti inferiori.
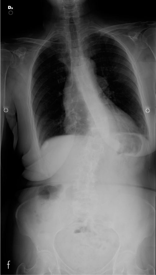
In questi casi, un attento studio pre operatorio ha permesso di distinguere i quadri di compressione radicolare da stenosi dei soli forami di coniungazione, dalle più complesse compressioni centrali. È stata valutata inoltre la presenza di scoliosi degenerativa (f) (con crollo asimmetrico del disco intervertebrale e chiusura del forame di coniugazione corrispondente) e l’eventuale presenza di disallineamento sul piano sagittale con la comparsa di spondilolistesi degenerativa.
L’estensione della laminectomia, il numero di vertebre stabilizzate e l’eventuale artrodesi anteriore (g,h) sono stati decisi in base alla sintomatologia del paziente attentamente correlata con gli esami di imaging (radiografie sotto carico, RMN e TAC), considerando anche fattori accessori quali l’età, le capacità di sopportare un intervento in ipotensione controllata e le possibilità di recupero post operatorio.

L’indicazione chirurgica è stata occasionalmente posta anche in presenza di sindromi da ernia del disco in pazienti non artrosici (i,l), qualora si fossero presentati all’osservazione in fase compressiva o deficitaria, o in fase irritativa qualora vi fosse una resistenza alla terapia conservativa.


La tecnica chirurgica adottata presso la Clinica II di Ortopedia e Traumatologia per il trattamento delle spondilolistesi è stata oggetto di studio ed è stata presentata come Scientific Exhibit alla American Accademy of Orthopaedic Surgeons 2015, tenutasi a Marzo a Las Vegas.
Caso 1: Spondilolistesi L4-L5 degenerativa
Maschio, 79 anni, spondilolistesi L4-L5 (cardiopatico 4 bypass). Operato 25 anni prima di discectomia L5-S1. Lombosciatalgia cronica aggravatasi negli ultimi 6 mesi e cluadicatio vertebrale con iniziale riduzione della forza. Il quadro radiografico e la risonanza mostrano una stenosi del canale a 2 livelli e la spondilolistesi L4-L5 (a). Operato di decompressione, riduzione dell’olistesi, artrodesi intersomatica e posterolaterale strumentata L3-L5 (b). Ottimo recupero funzionale a 4 mesi.

Caso 2: Stenoinstabilità lombare
Maschio, 64 anni, stenosi lombare. Da circa 10 anni lamenta lombalgia ingravescente con episodi di cruralgia e sciatalgia maggiore a sinistra. Ha eseguito cicli di terapia medica e fisica senza significativo beneficio. Ha eseguito indagini diagnostiche che hanno evidenziato quadro di stenosi del canale vertebrale in scoliosi degenerativa lombare (a). Operato di artrodesi posterolaterale strumentata L3-L5 e decompressione a sinistra (b).

Caso 3: Stenosi lombare
Femmina, 70 anni, stenosi lombare. Lombosciatalgia da 2 anni resistente alla terapia antalgica. Radicolopatia compressiva di L3 a sinistra con iniziale deficit di forza del quadricipite. La RMN dimostra una stenosi grave multilivello (a). L'intervento è consistito nella decompressione mediante laminectomia e rimozione del legamento giallo ossificato (b) e artrodesi L3-L5 (c), lo spazio L4-L5 è stato stabilizzato anche anteriormente. Ottimo il recupero funzionale della forza e miglioramento del dolore a 3 mesi.


Autore: prof. Cesare Faldini, direttore della Clinica Ortopedica e Traumatologica I, Istituto Ortopedico Rizzoli
Scheda revisionata il: 15 giugno 2015.