L'edema transitorio della testa del femore (BMES, conosciuto anche come osteoporosi transitoria della testa del femore o algodistrofia della testa del femore) è una patologia ad eziologia ignota che causa dolore e severa inabilità all’anca ed è assolutamente indistinguibile da una necrosi della testa del femore in fase iniziale. L'affezione è caratterizzata dall'insorgenza acuta di dolore, senza causa apparente e persistente anche a riposo, con durata compresa tra i 2 e i 12 mesi.
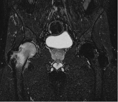
Alla radiografia compare un’area di marcata osteorarefazione a carico della testa del femore (fig.1), la risonanza magnetica evidenzia una diffusa alterazione di segnale a carico dell’epifisi, talora anche della regione trocanterica, espressione dell’edema dell’osso spongioso (fig 2).


Probabilmente l'edema transitorio della testa del femore e l’osteonecrosi sono patologie che condividono lo stesso momento patogenetico iniziale, l'insulto ischemico dell'osso sub-condrale; mentre però nell'edema transitorio il tessuto osseo superstite riesce comunque a garantire una restitutio ad integrum ed a riacquisire le caratteristiche meccaniche e biologiche dell’osso sano, nella necrosi questo non avviene ed il tessuto devascolarizzato accumula progressivamente alterazioni strutturali alla base della progressione della patologia. Studi recenti hanno inoltre evidenziato forti indizi su un ruolo patogenetico diretto da parte della componente nucleata del tessuto midollare ospitata nell'osso spongioso della testa del femore. Le cellule staminali mesenchimali (MSC), contenute in gran parte nella cresta iliaca ma presenti in piccola parte anche nell'epifisi prossimale femorale mostrano infatti attività e vitalità alterata fin dai primissimi stadi in entrambe le patologie.
In tali condizioni, tramite una piccola incisione, utilizziamo l'infiltrazione percutanea di una alta concentrazione di MSC (fig. 3), ottenute dall'aspirato midollare da cresta iliaca. Questa metodica può invertire il processo patologico, ripristinando la popolazione cellulare necessaria alla rigenerazione delle strutture coinvolte dall'ischemia. È stato dimostrato come questa procedura riduca drasticamente la durata dei sintomi nei casi di edema transitorio e si suppone che possa ridurre i rischi di progressione verso quadri più avanzati di necrosi della testa del femore.

Ambulatorio di Medicina rigenerativa al Rizzoli
Presso l’Istituto Ortopedico Rizzoli è attivo un Ambulatorio di Medicina rigenerativa (responsabile Dr. Dante Dallari) che tratta l’osteonecrosi della testa del femore e di altri distretti (omero, ginocchio, caviglia), unitamente alle patologie dell’anca senza indicazioni protesiche (artroscopia dell’anca, osteotomia, ricostruzioni articolari) e le pseudoartrosi delle ossa lunghe.
Autori: Dr. Dante Dallari, Dr. Nicolandrea Del Piccolo, struttura complessa di Chirurgia ortopedica ricostruttiva tecniche innovative-BTM, Istituto Ortopedico Rizzoli.
Scheda informativa revisionata il: 22 settembre 2018.