Main container

Elastofibroma del dorso

Gli elastofibromi del dorso sono rari tumori benigni costituiti principalmente da tessuto connettivo elastico e fibroso. Queste formazioni si sviluppano in genere in sede sottoscapolare, ovvero nella regione del dorso compresa tra la scapola e la parete toracica e sono generalmente asintomatiche. Sebbene la causa esatta della genesi degli elastofibromi non sia stata completamente compresa, sembra esserci una correlazione con l'esercizio fisico che coinvolga il cingolo scapolo-omerale, il traumatismo cronico e/o la pressione continua esercitata sulla schiena. Frequentemente si presentano bilateralmente.

Esami Diagnostici

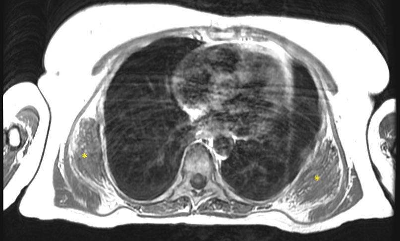
La diagnosi degli elastofibromi sottoscapolari del dorso si basa su una combinazione di esami clinici, imaging e, in casi selezionati, biopsie. Durante l'esame fisico, il medico potrebbe notare la presenza di una massa palpabile nel dorso del paziente, mobile, non dolente, che "scatta" con i movimenti in avanti della scapola. Gli esami di imaging, come la Tomografia Computerizzata (TC) o la Risonanza Magnetica (RM) (Figura 1),

immagine Risonanza Magnetica
Risonanza Magnetica del torace che mostra due elastofibromi sottoscapolari bilaterali

sono utilizzati per confermare la presenza della massa, valutarne le dimensioni e identificare eventuali coinvolgimenti dei tessuti circostanti. La biopsia può essere necessaria per confermare la natura benigna della lesione, qualora l'imaging ponga il sospetto di una massa neoplastica sarcomatosa.

Trattamento

In molti casi, gli elastofibromi del dorso non richiedono trattamento attivo, specialmente se sono di dimesioni limitate, asintomatici e/o non causano problemi funzionali. Tuttavia, quando la massa diventa voluminosa, sintomatica o causa disagio significativo, può essere considerata l'opzione chirurgica. L'intervento chirurgico viene eseguito in anestesia generale e prevede la rimozione completa della lesione con una incisione sottoscapolare, cercando di preservare al massimo la funzionalità dei tessuti muscolari circostanti (Figura 2).

Elastofibroma
Voluminoso elastofibroma del dorso asportato chirurgicamente (>15cm)

Decorso post-operatorio e possibili complicanze

La degenza media post-operatoria favorevole dura 4-5 giorni, nei quali si presta particolarmente attenzione al controllo del dolore. Le possibili complicanze di questo intervento chirurgico sono il sanguinamento, l'infezione del sito chirurgico e la formazione di un sieroma post-chirurgico. Le prime due sono evenienze abbastanza rare, mentre la formazione del sieroma post-chirurgico è relativamente frequente, soprattutto per elastofibromi particolarmente voluminosi; il sieroma può richiedere aspirazioni periodiche del liquido neoformato, analisi microbiologiche del liquido stesso ed antibioticoterapia.

Non è raro dimettere il paziente con un drenaggio sottofasciale che potrà essere rimosso nei giorni successivi, una volta che le quantità di liquido drenato quotidiane lo consentano. Il paziente viene seguito in genere fino ad un mese dall'intervento chirurgico con controlli periodici e viene consigliata una visita chirurgica a tre mesi con una ecografia dei tessuti molli in regione scapolare.

In conclusione, gli elastofibromi del dorso sono tumori benigni relativamente rari che richiedono un approccio personalizzato nella loro gestione. La diagnosi accurata attraverso esami clinici e di imaging, seguita da un trattamento chirurgico mirato quando necessario, migliora la qualità della vita dei pazienti affetti da questa condizione.

Autore: Dr. Fabio Davoli, responsabile della Struttura Semplice Dipartimentale Chirurgia Generale e Toracica, Istituto Ortopedico Rizzoli.

Scheda revisionata il: 13 novembre 2023.

Qui ci occupiamo di cura