Premesse anatomiche
La cuffia dei rotatori è una struttura fondamentale per il funzionamento della spalla, costituita dai tendini di quattro muscoli che originano dalla scapola e si inseriscono sulla testa dell’omero. Anteriormente vi è il sottoscapolare; superiormente il sovraspinoso (o sovraspinato); posteriormente il sottospinoso (o sottospinato) e il piccolo rotondo. I tendini della cuffia convergono a formare una lamina continua, larga parecchi centimetri. Solo tra sottoscapolare e sovraspinoso vi è un sottile interstizio nel quale passa il tendine del capo lungo del bicipite (fig. 1).
Semplificando le loro complesse funzioni si può dire che i quattro muscoli, contraendosi in maniera coordinata, mantengono la testa dell’omero compressa e centrata contro la glena, cioè la superficie articolare della scapola. Questa funzione è indispensabile perché l’articolazione scapolo-omerale non ha una stabilità legata all’incastro delle due componenti (la concavità della glena è appena accennata, molto aperta). Senza l’attività coordinata della cuffia i movimenti di elevazione del braccio diventano impossibili. La seconda principale funzione della cuffia è di muovere la spalla in rotazione interna (il gesto con cui portiamo la mano sull’addome o dietro la schiena) ed esterna (mano in fuori o anche mano sul capo e dietro la nuca). La faccia interna della cuffia dei rotatori riveste l’articolazione della spalla. La faccia esterna invece superiormente è ricoperta da una ampia borsa, una sorta di cuscinetto che evita l’attrito con il piano osseo dell’acromion.
Le lesioni della cuffia
Quando si parla di lesioni della cuffia dei rotatori ci si riferisce a lacerazioni, strappi nel tessuto tendineo con disinserzione dalla superficie ossea. La causa principale è rappresentata da una graduale degenerazione del tessuto tendineo. La probabilità di avere una lesione di cuffia cresce pertanto con l’aumentare dell’età. Nella grande maggioranza dei casi viene interessato il tendine del sovraspinoso, che ha un tratto critico, nutrito da pochi vasi e soprattutto scorre in uno spazio angusto dove può essere compresso tra la testa dell’omero e l’acromion (una struttura ossea che fa parte della scapola). Questo fenomeno di schiacciamento del tendine, che si accentua quando si mantiene il braccio in posizione elevata, può divenire doloroso e va sotto il nome di conflitto (o “impingement”) sub-acromiale. La forma e le dimensioni delle lesioni sono variabili (figg. 2, 3).

Meno frequenti sono le lesioni del sottospinoso, del sottoscapolare e del piccolo rotondo. Quando vengono coinvolti più di due tendini si parla di lesione massiva (fig. 4).
Un ruolo importante nelle lesioni della cuffia lo ha il tendine del capo lungo del bicipite, che non è parte della cuffia ma scorre in un intervallo della struttura della cuffia a stretto contatto con il sottoscapolare e il sovraspinoso: spesso il capo lungo va incontro a infiammazione e processi degenerativi e può essere uno dei responsabili principali del dolore.
Cause
Alla base delle lesioni vi è quasi sempre un processo graduale di degenerazione del tessuto, come accennato prima. Sicuramente hanno importanza fattori genetici che predispongono alcune persone più di altre e spiegano anche l’interessamento non raro di entrambe le spalle. Quindi in molti casi il problema nasce gradualmente e spontaneamente.
Ovviamente un ruolo lo giocano le attività fisiche, per cui persone che per anni fanno lavori gravosi per le spalle hanno più probabilità di sviluppare una lesione.
Il ruolo dei traumi (cadute, strappi) ha una sua importanza, ma in genere secondaria: è caratteristico che una persona che magari per anni ha sofferto di episodi di dolore alla spalla (le cosiddette periartriti), dopo un trauma noti una perdita brusca di funzionalità, magari con l’incapacità di sollevare il braccio. In questi casi si può facilmente immaginare che il tendine si è gradualmente logorato e poi un trauma lo ha rotto, oppure ha ingrandito una lacerazione che prima era più o meno ben compensata. Le circostanze in cui un trauma determina la rottura di una cuffia dei rotatori del tutto sana, in un soggetto giovane, esistono ma sono rare.
Diagnosi
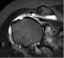
Per stabilire la presenza di una lesione di cuffia il primo passo è la visita dell’Ortopedico, che può sospettarla valutando con una serie di manovre i movimenti della spalla e la forza in varie direzioni. Questi test specifici sono mirati a valutare l’escursione articolare della spalla, la forza impressa dai differenti tendini all’articolazione della spalla e l’eventuale dolore causato nel corso delle manovre. In caso di lesione di un tendine generalmente si potrà apprezzare la riduzione della forza nel test che valuta quello specifico tendine, aspetto che non sempre è correlato alla comparsa di dolore durante la valutazione stessa. Gli esami strumentali principali sono l’Ecografia, che viene effettuato mediante una sonda a ultrasuoni, e la Risonanza Magnetica Nucleare. La prima è una metodica economica e diffusa, che può essere considerata l’esame di screening. La risonanza visualizza le strutture della spalla sfruttando i campi magnetici, è più costosa, è anche più difficile da tollerare per alcuni pazienti ed è controindicata in presenza di alcune condizioni. Le informazioni che fornisce sulla cuffia dei rotatori sono però molto più complete, soprattutto quando si deve valutare un intervento di riparazione (fig. 5).
Le lesioni della cuffia possono essere di vario tipo.
Esistono lesioni definite parziali: significa che un tendine presenta la rottura di uno strato delle sue fibre, non di tutto lo spessore. Una lesione parziale può riguardare il versante articolare, oppure quello esterno, bursale; talvolta le fibre rotte sono nell’interno del tendine. Come è intuitivo queste lesioni incomplete non alterano in modo significativo forza e funzione della spalla e nella maggior parte dei casi possono essere trattate con varie terapie senza intervento.
Le lesioni complete sono quelle che interessano tutto lo spessore delle fibre tendinee e come abbiamo visto possono avere diverse forme ed essere più o meno grandi.
Le lesioni massive, come già accennato, sono lacerazioni che si estendono a più di due tendini della cuffia. Se la lesione di cuffia è di grandi dimensioni può conseguirne uno sbilanciamento della articolazione della spalla, con la testa dell’omero che non sta più affrontata al centro della glena, ma si sposta verso l’alto. Questo effetto è visibile anche sulle normali radiografie.
Quando si osserva una lesione a tutto spessore della cuffia, oltre alle dimensioni e alla sede, è importante valutare altre due caratteristiche che la risonanza magnetica consente di studiare accuratamente: il grado di retrazione del tendine rotto, ovvero quanto si è allontanato dal suo punto di inserzione all’osso, e il grado di atrofia del muscolo a monte della rottura, che può andare incontro ad un processo di involuzione in cui le fibre muscolari vengono via via sostituite da tessuto grasso. Questi aspetti hanno ricadute sulle decisioni inerenti la scelta del trattamento.
Trattamento
Soltanto alcune delle lesioni della cuffia dei rotatori richiedono un intervento chirurgico di riparazione. Quindi scoprire sulla ecografia o sulla risonanza magnetica una rottura tendinea di cuffia non equivale sempre ad una necessità di ricovero e intervento.
Le lesioni parziali come già accennato non necessitano di riparazione nella maggior parte dei casi: solo nei pazienti in cui il dolore è persistente e non si risolve con le terapie (fisioterapia, farmaci, riduzione delle attività gravose) ci si può orientare verso la chirurgia.
Le lesioni a tutto spessore quando non sono molto estese in molti casi danno disturbi contenuti, oppure, dopo un periodo di dolore più o meno prolungato, sia spontaneamente sia grazie alle cure, possono smettere di fare male e lasciare una buona funzionalità della spalla. Questo quadro è tipico di persone in cui i disturbi non sono stati scatenati da un trauma, che sono già in età di pensionamento (60-70 anni) e che non richiedono grandi sforzi alla spalla.
Viceversa quando la lesione viene diagnosticata in una persona in età lavorativa, generalmente intorno ai 50 anni, specialmente se le attività svolte sono impegnative e se vi è stato un trauma che ha scatenato o peggiorato i disturbi, può essere opportuno ricorrere all’intervento.
Gli interventi
Vi sono due categorie di interventi chirurgici. In passato esisteva solo la metodica “aperta”, che richiede una incisione sulla spalla lunga circa 6-8 cm. Per raggiungere la cuffia è necessario passare attraverso il muscolo deltoide, che perciò viene inciso e alla fine suturato. Da oltre venti anni si sono sviluppate le metodiche artroscopiche, che utilizzano un sofisticato sistema basato su una piccola telecamera collegata ad uno schermo mediante fibre ottiche. Sono necessarie alcune piccole incisioni da 0,5-1 cm dietro, di lato e davanti alla spalla e non è necessario “aprire” il deltoide. I progressi di tecnica chirurgica e di tecnologia degli strumenti hanno fatto sì che anche in artroscopia si possano eseguire reinserzioni del tendine all’osso altrettanto sicure quanto quelle che si ottengono in chirurgia aperta.
Sebbene i tempi necessari per il recupero e i risultati delle riparazioni con tecniche aperte e artroscopiche siano uguali, queste ultime hanno guadagnato via via il favore dei chirurghi e dei pazienti e attualmente rappresentano lo “standard” della chirurgia della cuffia.
L’obiettivo dell’intervento di riparazione è di riportare il lembo di tendine strappato alla sua sede di inserzione all’osso della testa omerale e fissarvelo. Per far questo esistono diversi sistemi di ancoraggio, i più comuni sono rappresentati da “ancorette” di vari materiali che si avvitano o si impiantano a pressione nell’osso e a cui sono attaccati dei fili con i quali si sutura e si riporta in sede il tendine (fig. 6, 7, 8). I dispositivi utilizzati sono i più innovativi, e quando possibile utilizziamo ancorette di solo filo, riassorbibili o radiotrasparenti in modo da ridurre ulteriormente l’invasività chirurgica.

Perché la riparazione sia fattibile occorre che il tendine rotto abbia una buona consistenza e sia rimasto sufficientemente elastico da poterlo riportare nella sede di inserzione. Queste condizioni non sempre possono essere certe prima dell’intervento, nemmeno con la risonanza magnetica. A seconda delle situazioni una lesione di cuffia potrà risultare riparabile in modo completo, riparabile in modo parziale (rimane quindi una interruzione più piccola) oppure anche irreparabile.
Nel corso dell’intervento oltre alla riparazione vengono effettuate altre procedure: si fa una “pulizia” dei tessuti rovinati e degenerati; si rimuove almeno in parte la borsa generalmente infiammata; se vi sono irregolarità della superficie ossea dell’acromion, che sovrasta la cuffia, si possono levigare con appositi strumenti (acromionplastica). Inoltre nella maggior parte dei casi il tendine del capo lungo del bicipite adiacente ai tendini della cuffia è logorato e degenerato, e quindi causa di dolore: per questo motivo spesso è necessario sezionarlo, senza che questo pregiudichi la forza del braccio. Due sono le possibili gestioni del tendine del bicipite, da un lato la semplice sezione (tenotomia), che in alcuni casi può comportare un abbassamento della massa muscolare del bicipite e quindi un difetto estetico; oppure la fissazione del tendine alle strutture esterne alla spalla (tenodesi) che previene il rischio di difetto estetico ma può avere l’inconveniente di provocare qualche dolore almeno temporaneo.
Il ricovero
Quando si viene ricoverati si devono portare gli esami eseguiti alla spalla (RMN, radiografie, ecografia…) precedentemente valutati nelle visite ambulatoriali.
Vengono eseguiti esami del sangue e una visita dell’Anestesista, che illustra al paziente le modalità dell’anestesia (locoregionale, generale o mista). Se non emerge la necessità di ulteriori accertamenti si conferma la programmazione dell’intervento.
La durata dell’operazione è variabile, comunque nella gran parte dei casi va da 60’ a 90’. La permanenza in sala operatoria comprende in più un tempo di preparazione preliminare, in genere di almeno un’ora, e un periodo di sorveglianza dopo la fine dell’intervento. Al termine dell’intervento si applica un tutore ortopedico, diverso a seconda del tipo di lesione e riparazione: nel caso più frequente si tratta di un “cuscino”, fissato al busto con apposite cinghie, che mantiene il braccio discosto dal fianco (fig. 9).

Nelle ore successive all'intervento è generalmente consentito al paziente alzarsi da letto con adeguata assistenza.
La dimissione avviene dopo 1 o 2 giorni dall’intervento. Il paziente viene istruito sui movimenti che potrà fare con il gomito, l’avambraccio, il polso e la mano, nonché sulle precauzioni da prendere per provvedere alla propria igiene. Alla dimissione viene fissato l’appuntamento per il primo dei controlli in ambulatorio.
Complicazioni
Come in tutte le attività che svolgiamo quotidianamente (lavorare, fare sport, viaggiare…) anche durante o dopo gli interventi chirurgici possono verificarsi degli eventi avversi, che prendono appunto il nome di complicazioni.
Dopo un intervento di riparazione di cuffia le complicazioni possono essere di vari tipi, fortunatamente sono eventi rari. Uno dei principali è la rigidità della spalla, nel quadro della cosiddetta “capsulite adesiva”: è una evenienza sgradevole che allunga anche sensibilmente i tempi di recupero, ma che di regola si risolve lentamente con la sola rieducazione funzionale.
Come per tutti gli interventi esiste un rischio seppure bassissimo di infezione nonostante la profilassi antibiotica.
Altro evento indesiderato può essere la recidiva della rottura di cuffia: questa complicazione è naturalmente più frequente se la lesione era grande e se il tessuto tendineo era di scarsa qualità; spesso però anche quando si verifica le condizioni della spalla si mantengono accettabili.
Cosa si può e cosa non si deve fare
Se è stata ottenuta la riparazione, totale o parziale, della lesione di cuffia, allora occorre proteggere il tendine reinserito per il tempo necessario affinché si ristabilisca una robusta continuità tendine-osso. Questo processo biologico richiede alcuni mesi. Pertanto raccomandiamo l’utilizzo del tutore di spalla a tempo pieno, giorno e notte, per circa un mese durante il quale sono proibiti i movimenti soprattutto attivi della spalla. Dopo questo periodo di convalescenza “stretta” si inizia la fisioterapia, con la quale si esercita una graduale dolce mobilizzazione della spalla, prima passiva poi attiva. Se è disponibile, la idrochinesiterapia (ginnastica in acqua con l’assistenza del fisioterapista) agevola il recupero funzionale. A circa due mesi dall’intervento si possono praticare attività leggere, come la guida dell’auto. Per le attività più impegnative occorre aspettare circa quattro mesi dall’intervento. Se all’intervento è stata riscontrata una scarsa consistenza e resistenza del tessuto tendineo il chirurgo raccomanderà delle cautele da osservare a tempo indeterminato per ridurre il rischio di una nuova rottura.
Nei casi in cui la lesione è risultata irreparabile, in sala operatoria sono stati effettuati solo i tempi complementari di “pulizia”. In questo caso è lecito aspettarsi un miglioramento del dolore ma non un recupero di forza. Vi è però almeno il vantaggio che non sarà necessario mantenere l’immobilità della spalla, per cui gli esercizi di mobilizzazione iniziano nei primi giorni dopo l’intervento.