L’intervento di protesi di gomito consiste nella sostituzione della superficie articolare danneggiata con materiali non biologici che ne riproducono la forma e la funzione.
Cenni di anatomia
L’articolazione del gomito è formata da 3 diverse articolazioni (fig.1) che insieme concorrono a determinare i movimenti di flesso-estensione e prono-supinazione, fondamentali per gestire al meglio i movimenti della mano nello spazio circostante.

Quando è indicato un intervento di protesi
Le situazioni cliniche nelle quali può rendersi necessario un intervento di protesi di gomito sono varie, tutte accomunate dalla presenza di un grave danno della superficie articolare. Tra le malattie degenerative l’artrite reumatoide e l’artrosi, più spesso post-traumatica, sono le indicazioni più frequenti (fig.2). Altre possibili indicazioni sono le fratture recenti dell’omero distale o la pseudoartrosi (mancata consolidazione della frattura) in pazienti anziani con limitate richieste funzionali e con situazioni cliniche tali da rendere impossibile l’osteosintesi.

Nei casi in cui il paziente sia impossibilitato a limitare l’uso del braccio operato (ad esempio, per malattie associate: necessità di deambulare con bastoni antibrachiali o di spingersi con la carrozzina) l’indicazione all’intervento di protesi di gomito deve essere attentamente valutata.
Quando è contro-indicato un intervento di protesi
L’intervento di protesi di gomito è contro-indicato in pazienti con artrosi ma di giovane età e con alte richieste funzionali. Vi è inoltre controindicazione alla protesi in pazienti con infezione attiva a livello sistemico o locale e con cicatrici retraenti nella regione del gomito per l’elevato rischio di necrosi cutanea.
Quale protesi impiantare?
Possiamo riconoscere 2 principali tipologie di impianto:
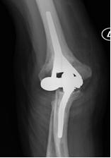
1) Protesi totale di gomito: riproduce la superficie articolare del gomito mediante due componenti, una omerale e l’altra ulnare (Fig. 3). L’accoppiamento tra le componenti protesiche che scorrono tra loro durante il movimento del gomito è metallo-polietilene. A seconda della presenza o meno di una cerniera -che crea un vincolo meccanico tra la componente omerale ed ulnare- le protesi totali di gomito si dividono in:
- con cerniera (linked): modelli che presentano una stabilità intrinseca e consentono un più ampio spettro di indicazioni (Fig. 3). Attualmente tali modelli sono i più comunemente utilizzati in Italia e Stati Uniti.
- senza cerniera (un-linked): modelli che affidano la stabilità alla ricostruzione capsulo-legamentosa e al buon bilanciamento delle parti molli, impiantabili solo in condizioni con ottima conservazione dell’osso e dei legamenti collaterali.

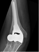
2) Emiartroprotesi omerale: prevede la sostituzione della sola estremità distale dell’omero con una protesi in metallo che ne riproduce la forma (Fig. 4) e che si deve bene adattare alla superficie ulnare e radiale contrapposta.
Questo impianto di più recente introduzione trova indicazione tipicamente in fratture dell’omero distale pluriframmentarie con impossibilità alla sintesi, in pazienti anziani con discrete richieste funzionali, in cui una protesi totale richiederebbe delle restrizioni maggiori da parte del paziente.


Il ricovero
Prima dell’intervento viene eseguita la visita da parte del medico anestesista, che illustra al paziente le differenti modalità di anestesia (loco-regionale, generale o combinata).
La durata dell’operazione è variabile, nella maggior parte dei casi l’intervento dura circa 3 ore. La permanenza del paziente in sala operatoria è anche più lunga per i tempi necessari per la preparazione all’intervento e per il periodo di valutazione post-operatoria al termine dell’intervento stesso.
Riabilitazione post-operatoria
Dopo l’intervento è necessario rispettare un periodo di particolare cautela nell’utilizzo dell’arto operato, la cui durata viene stabilita caso per caso e durante il quale è prescritto l’uso di una gomitiera. A seconda del tipo di intervento (indicazione e tipo di protesi impiantata), della tecnica chirurgica utilizzata (tipologia dell’accesso chirurgico in relazione al muscolo tricipite) e delle condizioni della cute si valuta nel post-operatorio come posizionare il gomito con una valva in estensione o in flessione e quando iniziare la terapia riabilitativa. Dopo l’intervento di protesi di gomito il paziente viene istruito a eseguire esercizi di mobilizzazione auto-assistita del gomito in flesso-estensione e prono-supinazione con tempi e modi che variano da paziente a paziente.
Per ridurre il numero di fallimenti degli impianti protesici di gomito è fondamentale che il paziente comprenda la necessità di proteggere la protesi, evitando attività faticose con l’arto operato. In particolare non devono essere sollevati oggetti superiori ai 5 kg di peso ed in caso di gesto ripetitivo il limite di peso consentito scende ad 1 kg. Nonostante tali raccomandazioni, i pazienti sono spesso tentati di disattendere le limitazioni imposte e utilizzano l’arto operato per attività troppo gravose: in un recente studio eseguito presso la Mayo Clinic (Rochester, MN-USA) è stato evidenziato come quasi il 95% dei pazienti con protesi di gomito esegua abitualmente almeno un’attività valutata come di intensità moderata (esempio giardinaggio) ed il 40% esegua almeno un’attività giudicata come pesante (utilizzo di stampelle, sollevare pesi gravosi o spalare la neve). Purtroppo il disattendere le limitazioni imposte aumenta notevolmente il rischio di complicazioni, in particolare la mobilizzazione (o scollamento dall’osso) della protesi e la più precoce usura del polietilene.
Complicazioni
Come in tutte le attività che svolgiamo quotidianamente (lavorare, fare sport, viaggiare…) anche durante o dopo gli interventi chirurgici possono verificarsi degli eventi avversi che prendono appunto il nome di complicazioni.
Dopo un intervento di protesi di gomito le complicazioni possono essere di vario tipo. Tra le tante possibili, ricordiamo le più frequenti:
- Ematoma, ritardo di cicatrizzazione, deiscenza (ri-apertura) della ferita, infezione superficiale (2-3% dei casi). Tali situazioni possono guarire con immobilizzazione, medicazioni, terapia antibiotica o richiedere un intervento di pulizia e nuova sutura
- Infezione profonda (2,5-4% dei casi). Questo rischio, che esiste per tutti gli interventi nonostante la profilassi antibiotica, è più elevato e più temibile quando vengono applicati impianti artificiali, come un protesi di gomito. Inoltre al gomito questo rischio è più elevato per l’esilità degli strati di tessuto (muscolo e cute) che ricoprono la protesi. Può manifestarsi precocemente e con sintomatologia intensa (dolore, arrossamento, aumento di temperatura locale e generale); altre volte è un processo più subdolo che si manifesta a distanza di mesi o anche di anni. L’infezione richiede solitamente un nuovo intervento: in una minoranza dei casi in cui l’infezione è di recente insorgenza può avere successo una pulizia chirurgica senza rimozione della protesi; negli altri casi può rendersi necessario l’espianto della protesi con il posizionamento di uno spaziatore temporaneo addizionato con antibiotici, ed un eventuale successivo intervento di reimpainto protesico. In tutti i casi è necessaria una prolungata terapia antibiotica
- Paralisi di un nervo (2,5%: dato probabilmente sottostimato). Il danno al nervo, temporaneo o definitivo, può essere dovuto a stiramento o a lacerazione in seguito alle manovre necessarie per lussare l’articolazione e per impiantare la protesi. Negli impianti di protesi primari il nervo più comunemente interessato è il nervo ulnare, con una percentuale di sofferenza probabilmente maggiore rispetto a quella riportata in alcune casistiche; soprattutto negli interventi di revisione dell’impianto protesico anche il nervo radiale è a rischio di lesione.
- Frattura dell’omero o dell’ulna (1,8-3%). Rappresenta il cedimento dell’osso osteoporotico durante la preparazione o l’inserimento di una componente della protesi.
- Mobilizzazione asettica (5-20%). A distanza di anni dall’impianto, come per tutte le protesi, può verificarsi il problema della mobilizzazione, detta anche “scollamento”, cioè il distacco di una componente protesica dall’osso che la ospita.
Possibili alternative all’intervento di protesi di gomito sono:
- in caso di pazienti con altre patologie associate e giudicati a rischio per l’intervento, in presenza di fattori di rischio generali o locali il trattamento conservativo, senza cioè eseguire l’intervento chirurgico, può essere il trattamento di scelta. Il paziente può essere aiutato a gestire il dolore con terapia medica o infiltratazioni locali e l’instabilità del gomito con l’utilizzo di tutori.
- artroplastica biologica: l’intervento consiste nell’interporre al posto della cartilagine gravemente usurata un tessuto - generalmente fascia lata o tendine di Achille omologo - stabilizzando temporaneamente l’articolazione con un fissatore esterno. L’intervento può essere gravato da un rischio relativamente alto di infezione e di instabilità del gomito.
- artrodesi omero-ulnare: consiste nella fusione dell’omero con l’ulna, bloccando definitivamente i movimenti del gomito. È un intervento complesso, di salvataggio, che può togliere il dolore ma a prezzo della completa e definitiva perdita di motilità dell’articolazione.
In conclusione, i modelli protesici di terza generazione attualmente utilizzati, assieme al perfezionamento della tecnica chirurgica di impianto e al miglioramento delle capacità di gestione delle complicanze rendono l’intervento di protesi di gomito oggi più sicuro e affidabile rispetto al passato. Ciò nonostante la protesi di gomito rimane un intervento complesso da riservare a pazienti anziani che presentino dolore anche a riposo e con limitazioni delle funzioni quotidiane. In questa tipologia di pazienti la percentuale di successo dell’intervento di protesi di gomito si può ritenere pari alle protesi delle altre articolazioni maggiori (anca, ginocchio, spalla).