Definizione
Si definisce necrosi avascolare o ischemica della testa del femore quella condizione patologica dovuta ad insufficiente perfusione ematica che, nella maggior parte dei casi, se diagnosticata tardivamente, induce una degenerazione artrosica precoce ed ampiamente invalidante.
Esistono forme traumatiche e forme non traumatiche di osteonecrosi. Se nel primo caso è facile immaginare un’interruzione della perfusione ematica, nelle forme non traumatiche la patogenesi rimane difficile da definire e spesso è l’associazione di uno o più fattori di rischio, che predispongono a situazioni di ipercoagulazione e microtrombosi.
Nel 10-20% dei casi si ha NECROSI IDIOPATICA, condizione non associata a fattori di rischio o a comorbidità che giustifichino l’alterazione del flusso ematico in situ.
Il dolore è solitamente il sintomo di esordio. Frequentemente ha insorgenza improvvisa ed è riferito all’inguine, irradiato alla faccia anteriore o anteromediale della coscia e più raramente al gluteo.
Il dolore è spesso presente anche a riposo ma il carico e la deambulazione lo aggravano significativamente.
Per la grande varietà di presentazioni è importante non sottovalutare il sintomo doloroso riferito all’anca poiché una diagnosi tempestiva può indirizzare ad un’ampia varietà di trattamenti di preservazione dell’articolazione stessa.
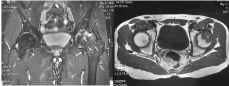
Diagnosi
La risonanza magnetica è considerata la metodica d’indagine più accurata per quantificare l’area osteonecrotica in fase precoce e per individuare la sede topografica della lesione, con una sensibilità che oscilla fra 88 e 100 % grazie alle caratteristiche di multiplanarietà e multiparametricità. La RMN, infatti, valuta l’area interessata su 3 piani: trasversale, coronale sagittale ed, inoltre, permette di discriminare la componente ossea da quella cartilaginea, evidenziando un’eventuale condropatia.
Percorso terapeutico
Le caratteristiche del paziente, le richieste funzionali e l’avanzamento della patologia stessa sono i fattori da considerare nella scelta terapeutica.
In particolare, lo stadio della patologia viene classificato secondo la classification de recherche osseous (ARCO) in 4 livelli basati su reperti radiografici e di risonanza magnetica.
L’approccio terapeutico può prevedere un trattamento incruento (farmacologico o biofisico) solo nelle fasi più precoci; più frequentemente risulta invece di tipo chirurgico.
In considerazione dell’età precoce in cui spesso la malattia si manifesta e, conseguentemente, delle elevate richieste funzionali, emerge l’importanza di opzioni terapeutiche “biologiche” che consentano di risparmiare l’articolazione, evitando il collasso dell’osso subcondrale.
Le prospettive di ricerca su cui ci stiamo concentrando da alcuni anni sono rivolte allo studio della fisiopatologia della malattia ed all’impiego di fattori di crescita autologhi e cellule stromali concentrate che si stanno rivelando fondamentali nel promuovere i processi di neoangiogenesi ed osteogenesi riparativa.
La nostra esperienza è cominciata nel 2002 dalla valutazione dell’efficacia di gel piastrinico autologo e di cellule stromali autologhe concentrate nel favorire la rigenerazione ossea in un modello di osteotomia tibiale in addizione.
A seguito di risultati conseguiti abbiamo iniziato ad utilizzare gli adiuvanti autologhi nella pratica clinica.
Il trattamento richiede invece nelle forme più avanzate (STADIO 3 e 4) la sostituzione protesica dell’anca stessa.

Core Decompression
I primo tempo chirurgico consiste nel prelievo di midollo osseo da cresta iliaca. Il sangue midollare prelevato viene trasferito in un apposito centrifuga a doppia camera che verrà azionata al fine di separare il plasma dagli elementi cellulari.

Il secondo tempo chirurgico è la procedura di core decompression con strumentario innovativo per la bonifica tridimensionale della lesione. Si esegue una piccola incisione di circa 1 cm distale al trocantere.

Sotto controllo scopico si infigge il filo di K attraverso il collo femorale fino all’area di necrosi.
Viene quindi eseguito un carotaggio di 9 mm di diametro e tramite tale accesso viene inserita una fresa manuale con una punta espandibile distale per rimuovere la lesione tridimensionale.

Infine il canale viene zaffato con un osso omologo arricchito dal concentrato cellulare midollare e PRF autologo preparato il giorno precedente l’intervento presso l’ematologia dell’istituto.
Tempo di riparazione articolare artroscopica e medicina rigenerativa
Negli stadi di osteonecrosi ove è già presente un danno condrale dovuto all’infarto osseo è neccessario associare il tempo di riparazione articolare.
Tale procedura artroscopica deve essere eseguita da un chirurgo esperto che riconosca la migliore tecnica di medicina rigenerativa da applicare e che possa inoltre ridurre al minimo il tempo chirurgico.
Tramite due accessi di circa 1 cm si visualizza direttamente la cartilagine articolare, il labrum acetabolare e le lesioni.
Le procedure applicabili hanno l’obiettivo di regolarizzare e riparare i danni per preservare l’articolazione e diminuire il dolore.
In base alla sede della lesione, alle dimensioni ed alle caratteristiche del paziente varie tecniche di medicina rigenerativa vengono infine applicate per determinare uno stimolo biologico riparativo sia all’osso subcondrale che al danno cartilagineo.

Recupero post operatorio
Il decorso post operatorio si basa su un carico sfiorato articolare con deambulazione assistita da stampelle per 45 giorni e successivo recupero graduale fino a completo carico in altri 45 giorni circa.
L’articolarità dell’anca è invece recuperata fin dalle prime ore post-operatorie.
La giornata successiva l’intervento verranno fornite al paziente chiare indicazioni dai nostri fisioterapisti che dovranno essere rispettate fino al primo controllo post operatorio.
Il paziente al momento della dimissione sarà in grado di deambulare con 2 stampelle per spostamenti necessari all’autonomia quotidiana.
Ambulatorio di Medicina rigenerativa al Rizzoli
Autore: Dr. Dante Dallari, direttore della struttura complessa di Chirurgia ortopedica ricostruttiva tecniche innovative-BTM, Istituto Ortopedico Rizzoli.
Scheda informativa revisionata il: 5 marzo 2021.