Main container

Pseudoartrosi

Definizione

Si definisce pseudoartrosi la mancata consolidazione di una frattura a distanza di circa 6 mesi dall’evento traumatico. È una complicazione tardiva determinata dall’interruzione dei normali processi di guarigione della frattura.

Con i moderni metodi di trattamento la maggior parte delle fratture guarisce senza problemi anche se in alcuni distretti tale complicazione è più frequente. Per poter guarire una frattura necessita di una buona stabilità e di un adeguato apporto di sangue. I frammenti della frattura devono rimanere ben affrontati per tutto il tempo necessario per la guarigione. A questo scopo può essere sufficiente l’applicazione di un apparecchio gessato quando la frattura è composta, oppure può rendersi necessario un intervento chirurgico, per ridurre manualmente la frattura e stabilizzarla con placche e viti o chiodi endomidollari. E’ inoltre necessario un buon apporto ematico a livello del focolaio di frattura. Infatti tramite il sangue sono trasportati tutti i componenti necessari come l'ossigeno, cellule deputate alla produzione di nuovo tessuto, e i fattori di crescita.  


Fattori di rischio

Tutte le condizioni che influenzano negativamente la vascolarizzazione del focolaio di frattura predispongono alla pseudoartrosi. Tra queste le principali sono:
  • fumo;
  • età avanzata;
  • anemia;
  • diabete;
  • l’assunzione di analgesici, compresi i FANS, ed in particolar modo di corticosteroidi possono favorire lo sviluppo di una pseudoartrosi. Il medico ed il paziente devono sempre discutere i rischi ed i vantaggi derivanti dall'utilizzo di questi farmaci durante la guarigione della frattura;
  • infezione.
Un osso fratturato ha anche bisogno di una nutrizione adeguata per guarire: proteine, calcio, vitamina C e vitamina D sono assolutamente necessarie per la guarigione di una frattura e quindi una dieta attenta è il modo migliore per assicurare un apporto nutrizionale adeguato.
 
Le pseudoartrosi sono più frequenti nei distretti in cui la vascolarizzazione ossea è più precaria oppure - se il trauma è tale da compromettere la vascolarizzazione dei frammenti - possono manifestarsi anche in un distretto ben irrorato: alcune ossa tipo quelle dei piedi, infatti, hanno una buona stabilità intrinseca ed un ottimo apporto di sangue e sono in grado di guarire con un trattamento minimo.
 
Altre ossa, come il femore prossimale e le piccole ossa del polso (ad ex. lo scafoide), sono dotate di un circolo piuttosto precario: l'afflusso di sangue può essere facilmente interrotto in caso di frattura.
Alcune ossa, come la tibia, hanno un apporto discreto di sangue, ma sono ricoperte da un esiguo spessore di tessuti molli che può facilmente essere danneggiato in caso di traumi gravi. Il trauma può compromettere sia la vascolarizzazione interna del midollo osseo (vasi endostali) sia quella esterna (periostale) proveniente in gran parte con rami perforanti dai muscoli sovrastanti. Alcune fratture non guariscono anche quando il trattamento, chirurgico o non, risulta appropriato, dimostrando che non ancora tutti i meccanismi fisiologici che portano alla pseudoartrosi sono conosciuti.
 
  

Diagnosi

I pazienti affetti da pseudoartrosi lamentano persistenza del dolore dopo lungo tempo dall’evento truaumatico. Questo dolore può essere costante, o può essere avvertito solo con il carico o il movimento. Di solito le radiografie nelle opportune proiezioni sono sufficienti per fare la diagnosi di pseudoartrosi. In alcuni casi possono essere eseguite la tomografia computerizzata e risonanza magnetica, anche per pianificare interventi particolarmente complessi.

Gli esami di laboratorio possono essere utilizzati per scoprire eventuali fattori che favoriscono la pseudoartrosi. Vanno indagate le patologie correlate con lo sviluppo della pseudoartrosi come le infezioni, o altre condizioni mediche come l'anemia o il diabete.
 

Trattamento

Il trattamento della pseudoartrosi può prevedere trattamenti non chirurgici, trattamenti chirurgici o l’associazione di entrambi.

Trattamento non chirurgico

I mezzi fisici sono un trattamento frequentemente utilizzato nelle pseudoartrosi. Quelli che si sono dimostrati maggiormente efficaci sono i campi elettromagnetici pulsati (CEMP) e le onde d’urto. Entrambi i metodi necessitano di apparecchiature che vengono applicate sulla superficie cutanea.

Trattamento chirurgico

L'intervento chirurgico è necessario quando i metodi non chirurgici falliscono o quando il quadro clinico-radiografico è tale da necessitare sin da subito un intervento. Esistono diverse tecniche chirurgiche che possono essere utilizzate da sole o in combinazione. E’ da tempo accertato che un buon affronto dei capi ossei di frattura ed ad una buona stabilità sono elementi imprescindibili per la guarigione. Questo avviene attraverso procedure di riduzione ed osteosintesi:

  • fissazione interna - la sintesi interna stabilizza una pseudoartrosi utilizzando mezzi di sintesi come placca e viti, oppure chiodi endomidollari;
  • fissazione esterna - la fissazione esterna stabilizza i capi di frattura ancorandosi sull’osso sano, senza apporre corpi estranei nel focolaio di pseudoartrosi. Questo tipo di fissazione è di fondamentale importanza nelle pseudoartrosi infette, essendo la presenza di corpi metallici il primo ostacolo alla guarigione dell’infezione.

 All’osteosintesi può essere necessario associare l’utilizzo di innesti ossei o analoghi.

  • Innesti ossei autologhi – Sono prelevati dal paziente stesso in un sito donatore come per esempio le creste iliache. Hanno diverse proprietà tra cui la osteoconduttività e l’osteoinduttività. Un innesto osseo fornisce una impalcatura in cui di nuovo tessuto osseo può crescere, ed inoltre questi tipi di innesti forniscono cellule ossee fresche e fattori di crescita che stimolano la rigenerazione ossea. Nonostante le ottime qualità, questi tipi di innesto hanno diversi svantaggi, tra cui la disponibilità limitata e la morbidità a livello del sito donatore. In particolare risulta difficile ottenere una quantità sufficiente di innesto osseo quando le perdite di sostanza sono ingenti.
  • Innesti ossei omologhi – si utilizza osso proveniente da donatore vivo (teste di femore) o cadavere. Il principale vantaggio è di non richiedere un prelievo dal paziente, limitando quindi le incisioni e il dolore postoperatorio. Anch’esso funge da impalcatura per la formazione di nuovo tessuto osseo (proprietà osteoconduttiva) ma non contiene cellule vive e di conseguenza deve essere sostitutito dal nuovo osso del paziente (non possiede proprietà osteoinduttiva). Anche se esiste un rischio teorico di trasmissione di malattie infettive, grazie all’accurata selezione dei donatori e alla lavorazione degli innesti il rischio è ridotto al minimo.

Sostituti ossei – sono materiali di sintesi che hanno una composizione molto simile a quella dell’osso umano. Hanno proprietà osteoconduttive e non osteoinduttive come l’osso omologo. Hanno come svantaggio gli elevati costi, proprietà meccaniche inferiori a quelle dell’osso e tempi di integrazione più lunghi. 

torna all'inizio

Medicina rigenerativa applicata alla pseudoartrosi

Negli ultimi anni l’ingegneria tissutale ha rapidamente proposto metodiche in grado di offrire la possibilità di riparare e rigenerare tessuti ed organi specifici, integrando discipline diverse, dalla chimica, alla fisica, alla biologia. Nella pratica del chirurgo ortopedico si sono recentemente presentate stimolanti opzioni terapeutiche che derivano dalla conoscenza sempre più approfondita dei meccanismi di riparazione tessutale.

Utilizziamo cellule midollari concentrate ottenute mediante aspirazione midollare dalla cresta iliaca. L’aspirato midollare rappresenta una fonte di cellule progenitrici, osteoblasti e cellule mesenchimali dotate di potenzialità osteogenetiche ed osteoinduttive. L’applicazione combinata di specifici fattori di crescita in grado di indirizzare le cellule stromali in senso osteoblastico aumenta la capacità di formare tessuto osseo.

Per aumentare la concentrazione locale di fattori di crescita utilizziamo il gel piastrinico (Platelet Rich Fibrin - PRF). Il gel di piastrine è un concentrato autologo di piastrine umane (ricche di fattori di crescita all’interno degli α-granuli in esse contenuti) in un piccolo volume di plasma. In quanto tale, il gel piastrinico contiene inoltre fibrinogeno, fibronectina e vitronectina, molecole plasmatiche dotate anche di proprietà osteoconduttive. L’attivazione piastrinica implica il rilascio dagli alfa-granuli di fattori di crescita utili ai processi di riparazione: PDGFs (platelet-derived growth factors), sono potenti regolatori della migrazione, proliferazione e sopravvivenza delle cellule mesenchimali; TGF-β (transforming growth factor beta), costituisce il più potente agente fibrogenico tra le citochine; IGF I e II (insulin-like growth factor) regolatori positivi della proliferazione e differenziazione di molti tipi cellulari.

Caso clinico

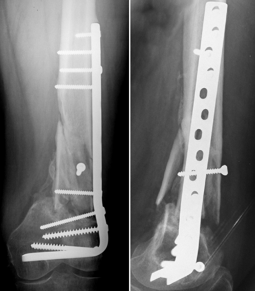
Paziente maschio, anni 74, pseudoartrosi femore distale sinistro.
Paziente maschio, anni 74, pseudoartrosi femore distale sinistro
Controllo a 3 mesi di distanza dopo osteosintesi con lama placca, innesto osseo contrapposto, cellule staminali autologhe e gel piastrinico
Controllo a 3 mesi di distanza dopo osteosintesi con lama placca, innesto osseo contrapposto, cellule staminali autologhe e gel piastrinico.

In casi selezionati esiste la possibilità di iniettare per via percutanea cellule stromali autologhe concentrate e fattori di crescita nel focolaio di pseudoartrosi per stimolare i processi rigenerativi. Questo procedimento risulta indicato quando la frattura è intrinsecamente stabile ma l’attività osteogenetica risulta scarsa come da insufficiente apporto vascolare.

Sono in fase di affinamento le tecniche per la coltivazione e l’espansione delle cellule staminali in laboratorio.

Un'ulteriore possibilità terapeutica è data dall’utilizzo del perone vascolarizzato. Tale procedura, utilizzata anche nella chirurgia oncologica, è indicata nelle gravi perdite di sostanza ossea e consente la ricostruzione intercalare di un notevole segmento con tessuto osseo autologo e vascolarizzato da un proprio peduncolo vascolare. A tale procedura si può associare l’impiego di innesti ossei omologhi di banca.


torna all'inizio


Ambulatorio di Medicina rigenerativa al Rizzoli

Presso l’Istituto Ortopedico Rizzoli è attivo un Ambulatorio di Medicina rigenerativa (responsabile Dr. Dante Dallari) che tratta l’osteonecrosi della testa del femore e di altri distretti (omero, ginocchio, caviglia), unitamente alle patologie dell’anca senza indicazioni protesiche (artroscopia dell’anca, osteotomia, ricostruzioni articolari) e le pseudoartrosi delle ossa lunghe.

 

Autore: Dr. Dante Dallari, direttore della struttura complessa Chirurgia Ortopedica Ricostruttiva Tecniche Innovative - Banca del Tessuto Muscoloscheletrico, Istituto Ortopedico Rizzoli.

Scheda revisionata il: 9 maggio 2018.

Qui ci occupiamo di cura