Main container

Rizoartrosi

Generalità

La rizoartrosi è una forma di artrosi che colpisce l'articolazione alla base del pollice, chiamata trapezio-metacarpica. Può essere causata dall'invecchiamento, dallo stress ripetitivo sull'articolazione, da deformità congenite, instabilità, anomalie muscolari o traumi e infiammazioni passate. Questa condizione può portare a perdita di funzionalità del pollice e a deformità visibili.

Figura 1 - Rizoartrosi
Figura 1 - Rizoartrosi

La rizoartrosi rappresenta il 10% delle deformità legate all'artrosi e può manifestarsi isolatamente o insieme all'artrosi delle articolazioni delle dita. È più comune nelle donne di età compresa tra i 40 e i 70 anni.

Sintomi

Il sintomo principale della rizoartrosi è il dolore alla base del pollice, che può irradiarsi lungo il dorso del pollice. Nelle fasi iniziali, il dolore si manifesta durante movimenti specifici come girare una chiave o aprire un barattolo. Con il tempo, il dolore può diventare costante e più intenso, limitando le attività quotidiane. Negli stadi avanzati, l'articolazione può anchilosarsi (bloccarsi), riducendo il dolore ma limitando ulteriormente il movimento del pollice. La base del metacarpo può diventare ipertrofica e irregolare.

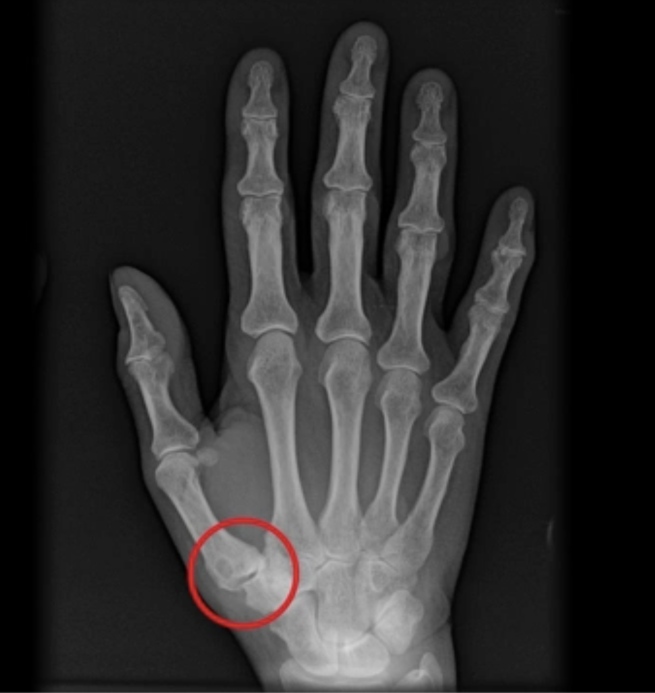
Diagnosi

La diagnosi di rizoartrosi inizia con una valutazione clinica, confermata poi da esami strumentali (radiografie). Clinicamente si possono rilevare prominenze alla base del pollice e iperestensione dell'articolazione metacarpo-falangea. Test specifici come il grind test e il test di sublussazione possono evocare dolore e rumori articolari caratteristici.

Figura 2 - Radiografia di mano affetta da rizoartrosi
Figura 2 - Radiografia di mano affetta da rizoartrosi

Trattamento

Trattamento Conservativo

Nelle fasi iniziali, il trattamento conservativo può includere l'uso di tutori durante la notte e durante attività che richiedono sforzo manuale. Nei periodi di infiammazione acuta, possono essere utili antinfiammatori topici, laserterapia e infiltrazioni intrarticolari con cortisonici o acido ialuronico.

Trattamento Chirurgico

Se il trattamento conservativo non è efficace o se il deficit è severo, si può ricorrere alla chirurgia. Le principali opzioni chirurgiche sono:

(1) Artrodesi Trapezio-Metacarpale: Fusione del trapezio con il primo metacarpo per stabilizzare l'articolazione, mantenendo la forza di presa, ma limitando il movimento.

(2) Trapeziectomia con Artroplastica di sospensione: Rimozione del trapezio e ricostruzione dell'articolazione usando una parte dell’abduttore lungo del pollice. Questo intervento mantiene una buona funzione articolare ma riduce la forza. Dopo l'intervento, è necessario indossare un’immobilizzazione per 30 giorni e successivamente eseguire ciclo di fisioterapia. La completa ripresa dell’attività con miglioramento funzionale si avrà circa a 12 settimane dall’intervento.

Figura 3 - Raffigurazione di trapezioctomia con artroplastica di sospensione
Figura 3 - Raffigurazione di trapezioctomia con artroplastica di sospensione

(3) Sostituzione Protesica: L'artroplastica con protesi a doppia mobilità permette un più rapido recupero della motilità e della forza e della regressione del dolore rispetto alle tecniche descritte precedentemente. Anche in questo caso, è necessario indossare bendaggio per la prima settimana post-intervento ed evitare sforzi e carichi per i primi 30gg.

Figura 4 - Trattamento chirurgico di rizoartrosi con sostituzione protesica
Figura 4 - Trattamento chirurgico di rizoartrosi con sostituzione protesica


 

Figura 5 - Immagine radiografica pre e post intervento di sostituzione protesica
Figura 5 - Immagine radiografica pre e post intervento di sostituzione protesica


 

Contatti

Qui ci occupiamo di cura

Ti potrebbe interessare anche

malattia, trattamento
Morbo di Dupuytren

(scheda curata dal Dr. Federico Pilla)

Leggi tutto