Main container

Slipping Rib Syndrome (Sindrome da Scivolamento Costale)

La “Slipping Rib Syndrome” o “Sindrome da Scivolamento Costale” è una condizione in cui una o più coste inferiori, spesso la IX, X o XI, si spostano dalla loro sede anatomica abituale provocando dolore e disagio nella regione toracica corrispondente.

I sintomi principali includono dolore localizzato nella parte inferiore del torace, spesso aggravato da alcuni movimenti o dalla pressione esercitata sulla zona interessata.

Epidemiologia - Eziopatologia

La sindrome da scivolamento costale è sempre stata considerata una condizione rara, spesso non diagnosticata, rendendo difficile stimare con precisione la sua frequenza nella popolazione.

E’ stata descritta per la prima volta nel 1919 da Edgar Ferdinand Cyriax [1], un ortopedico britannico. Si ritiene che sia più comune nelle donne, tra gli adolescenti e i giovani adulti, ma può verificarsi a qualsiasi età. La mancanza di consapevolezza e la somiglianza dei sintomi con altre patologie toraciche hanno da sempre contribuito a sottostimare il fenomeno [2].

Le cause esatte della sindrome da scivolamento costale non sono del tutto note, ma si ipotizza siano legate a:

  • iper-mobilità delle giunture costali che può derivare da traumi o movimenti ripetuti
  • rottura della cartilagine costale che fissa le coste IX-X-XI con conseguente loro sub-lussazione;
  • predisposizione anatomica.

L'instabilità delle giunture costali può portare allo scivolamento delle punte libere delle coste inferiori (Figure 1-2), causando dolore e irritazione dei tessuti circostanti (Figura 3), in particolare del nervo intercostale corrispondente o dei fasci muscolari/tessuti molli adiacenti, generando una condizione di dolore toracico cronico; solitamente la X costa è quella più colpita.

Ricostruzione Tc Torace 3D che mostra le punte costali libere della X-XI costa
Ricostruzione Tc Torace 3D che mostra le punte
Ricostruzione Tc Torace 3D che mostra le punte costali libere della X-XI costa
costali libere della X-XI costa (fig.1 e fig.2)

 

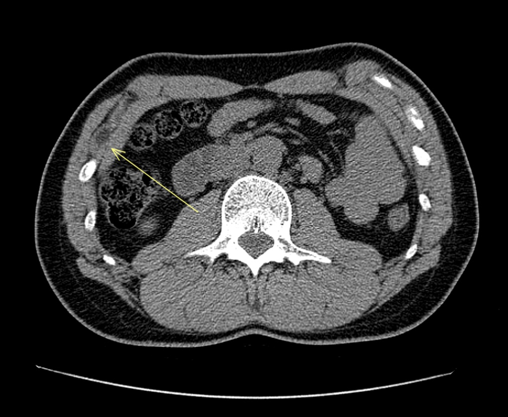
Tc Torace-addome che mostra zona di conflitto con flogosi tissutale in corrispondenza della X costa di destra (Freccia)
Tc Torace-addome che mostra zona di conflitto con flogosi tissutale in corrispondenza della X costa di destra (Freccia)

Diagnosi

La diagnosi della sindrome da scivolamento costale non è semplice e si basa spesso esclusivamente sull'esame obiettivo. La palpazione della regione costale può provocare dolore o sensibilità nella zona interessata; in particolare la trazione delle coste verso l’alto e anteriormente può generare un “click” (manovra dell’uncino) dovuto alla mobilizzazione di un elemento cartilagineo che evoca un forte dolore costale [2].

Tuttavia, a causa della somiglianza dei sintomi con altre condizioni toraciche, possono essere necessari esami di imaging come radiografie, ecografie, TC o risonanze magnetiche. Le indagini radiologiche mostrano in genere reperti minimamente patologici e non sono dirimenti in senso diagnostico, bensì risultano più utili per escludere patologie sottostanti. La Tc Torace con ricostruzioni tridimensionali (Figure 1-3) può confermare il sospetto clinico ed indirizzare il trattamento.

Trattamento Conservativo Medico e Locale

Il trattamento iniziale si concentra spesso sul sollievo dei sintomi. Riposo, uso di farmaci antinfiammatori non steroidei (FANS) e ghiaccio locale possono essere prescritti per ridurre il dolore e l'infiammazione. L'applicazione di fasce o bendaggi nella zona interessata può fornire supporto e limitare i movimenti delle coste coinvolte. La fisioterapia mirata al rafforzamento muscolare ed alla correzione della postura può essere raccomandata per migliorare la stabilità delle articolazioni costali. Se il trattamento conservativo non ha successo si possono prendere in considerazione delle infiltrazioni con combinazioni di steroidi e anestetici locali; se i blocchi nervosi locali sono efficaci, possono confermare il sospetto diagnostico.

Trattamento Chirurgico

Nei casi più gravi o resistenti al trattamento conservativo, il ricorso alla chirurgia può essere proposto al Paziente. Il trattamento chirurgico classico comprende la resezione extra-pleurica del segmento costale interessato e della cartilagine costale corrispondente (Figura 4 A-B).

Accesso chirurgico alla X costa
A) Accesso chirurgico alla X costa (*); B) X costa, costectomia parziale, pezzo anatomico; notare la particolare forma appuntita del moncone che, in questo caso generava un conflitto anatomico sintomatico con il m. obliquo interno

La stretta collaborazione della nostra Struttura con la Radiologia Diagnostica e Interventistica consente di identificare un repere pre-operatorio della/e costa/e interessata/e mediante esame ecografico.

Altre opzioni chirurgiche possono includere la stabilizzazione delle coste coinvolte con placche con o senza resezione del moncone costale corrispondente.

Tuttavia, in considerazione dei rischi che comunque comporta un trattamento chirurgico per una patologia altresì benigna, lo si riserva solo dopo che altri approcci terapeutici hanno fallito nel fornire sollievo dai sintomi e dopo un attento colloquio con il paziente che ne esplori le reali motivazioni.

Bibliografia

[1] Cyriax E. On various conditions that may simulate the referred pains of visceral disease, and a consid­eration of these from the point of view of cause and effect. Practitioner. 1919;102:314–322.

[2] Gress K, Charipova K, Kassem H, Berger AA, Cornett EM, Hasoon J, Schwartz R, Kaye AD, Viswanath O, Urits I. A Comprehensive Review of Slipping Rib Syndrome: Treatment and Management. Psychopharmacol Bull. 2020 Oct 15;50(4 Suppl 1):189-196.

 

Autore: Dr. Fabio Davoli, responsabile della Struttura Semplice Dipartimentale Chirurgia Generale e Toracica, Istituto Ortopedico Rizzoli.

Scheda revisionata il: 18 novembre 2023.

Here we deal with health